მალების ამოვარდნილობა და ქვეამოვარდნილობა
მალების ამოვარდნილობა და ქვეამოვარდნილობა
მალების ამოვარდნილობა იშვიათი მოვლენაა. უფრო ხშირია მათი მოტეხილობები, ხოლო ამოვარდნილობები მათი შედეგია. სუფთა სახის ამოვარდნილობები თითქმის ყოველთვის გვხვდება კისრის მალების მიდამოში. ამოვარდნილ ნაწილად ითვლება ზედა მალა. არსებობს მალების ფლექსიური და როტაციული ამოვარდნილობები. მალების რკალების მიახლოებისას ზედმეტად გაშლას წინააღმდეგობა ხვდება, რაც ამოვარდნილობას ხელს უშლის. თავის მეტისმეტად დახრას მკერდისაკენ შეუძლია გადაადგილოს ზედა მალის სასახსრე მორჩები ქვედასთან მიმართებით (არასრული ამოვარდნილობა, ქვეამოვარდნილობა). ხერხემლის შემდგომი გამართვისას ზედა მალის სასახსრე ზედაპირები შეიძლება წინ გადაცურდნენ და ქვედა მალის სასახსრე მორჩების წინ შედგნენ (სრული ამოვარდნილობა). ამ შემთხვევაში თავი მოქმედებს, როგორც ბერკეტის ძალა, რომლის საყრდენია ქვევით მდებარე მალის ორივე სასახსრე ზედაპირის წინა მხარეები. ამიტომ კისრის ფლექსიური ამოვარდნილობა ყოველთვის ორმხრივია.
კისრის ტრავმის დროს მეტისმეტად მოხრას ან გაშლას შეუძლია გადაადგილოს კისრის მალები და გამოიწვიოს ამოვარდნილობა.
როტაციული ამოვარდნილობის დროს, რომელსაც თან ახლავს იოგების ზედმეტი გვერდითი მოხრა და დაჭიმვა, ზედა მალის სასახსრე მორჩი ეყრდნობა ქვედას რკალს, როგორც საყრდენ წერტილს. შემდგომი მოძრაობის დროს ერთი მხრის სასახსრე მორჩები ცალკევდებიან, როგორც ფლექსიური ამოვარდნილობის, არასრული და სრული ამოვარდნილობის დროს. მოპირდაპირე მხარეზე მოტრიალების (როტაციის) დროს ზედა სასახსრე მორჩი (სასახსრე კაფსულის გაჭიმვის შედეგად) ქვედა მალასთან მიმართებით უკან გადაადგილდება. ასეთნაირად როტაციული ამოვარდნილობისას ხდება მალების გადაადგილება ორივე მხარეს, მაგრამ ურთიერთსაპირისპირო მიმართულებით. იმის გამო, რომ სასახსრე მორჩების გადაბმა აქ ერთ მხარეზე ხდება, როტაციულ ამოვარდნილობას სხვანაირად ცალმხრივსაც უწოდებენ.
როგორც ფლექსიური, ისე როტაციული ამოვარდნილობა მხოლოდ ხერხემლის სვეტის კისრის ნაწილში ფიქსირდება კისრის მკვეთრი მოხრის დროს ჰორიზონტალურად განლაგებულ სასახსრე მორჩებში:
- ფლექსიური ამოვარდნილობა - ორივე მალთაშუა სახსრის კაფსულების სრული გახლეჩით
- როტაციული ამოვარდნა - მალთაშუა სახსრის კაფსულების გახლეჩით ტრიალი მიმართულებით
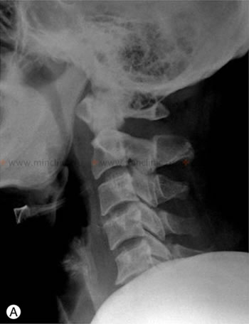
ხერხემლის სვეტის კისრის რენტგენოგრაფიის დროს (გვერდით პროექციაში) ვერ ხერხდება ტრავმის შემდეგ მალების სხეულის გადანაცვლების დანახვა, რადგან ამას ხელს უშლის პაციენტის მხრები.
მალების ამოვარდნილობისა და ქვეამოვარდნილობის დიაგნოსტიკა
ხერხემლის სვეტის კისრის ფლექსიური ამოვარდნილობის სიმპტომები:
- პაციენტის თავი წინაა დახრილი
- პაციენტის ნიკაპი თითქმის ეხება მკერდს
კეფაში, კისერსა და მხრებში მკვეთრი ტკივილისა და მნიშვნელოვანი მოძრაობის გამო პაციენტები სიარულის დროს ხშირად თავს ხელებით იმაგრებენ. ხერხემლის სვეტის კისრის წვეტიანი მორჩების გასინჯვისას შეიძლება დავინახოთ ქვევით მდებარე მალის წვეტიანი მორჩის ამოშვერილობა. მისგან ზევით ხელით ისინჯება ზევით მდებარე მალის ჩაზნექა. ზევით მდებარე მალის სხეულის წინ ამობურცულობა ართულებს ყლაპვას. კისრის ამოვარდნილი მალა ხელით ისინჯება კისრიდან ან დგინდება ლარინგოსკოპიის დროს.
ხერხემლის სვეტის კისრის კომპიუტერული ტომოგრაფიის დროს ჩანს C5 მალის წინ გადანაცვლება ტრავმის შემდეგ (მითითებულია ისრით).
ხერხემლის კისრის არის კომპიუტერული ტომოგრაფიაზე (CT) გამოვლინდა კისრის C7 მალის მოტეხილობა და ამოვარდნილობა, ჩაჭედილი ფასეტური სახსრები.
კისრის მალის როტაციული ერთმხრივი ამოვარდნილობის დროს კისრისა და თავის მდგომარეობა შეიძლება განსხვავებული იყოს. ეს დამოკიდებულია ამოვარდნილობის ხარისხზე. არასრული ამოვარდნილობის დროს კისერი დაჭიმულია, ხოლო თავი დახრილია და მიბრუნებული ჯანმრთელი მხარისაკენ. სრული ამოვარდნილობის დროს პაციენტის თავი დახრილია მკერდისაკენ ამოვარდნილობის მხარეს და მობრუნებულია (როტირებულია) ჯანმრთელი მხარისაკენ. ზედა მალების წვეტიანი მორჩები გადაწეულია ამოვარდნილობის მხარეს. კისრის მალების ორივე ტიპის ამოვარდნილობების დროს ჩნდება თანმხლები ნევროლოგიური სიმპტომები:
- მგრძნობელობის ფესვური ხასიათის ცვლილებები (ჰიპესტეზია, პარესტეზია, ანალგეზია)
- ზედა კიდურების კუნთების პარეზები და დამბლები - ფესვების ზეწოლის ან დაზიანების შედეგი (მონო- ანდა პარაპარეზი, პარაპლეგია)
ოთხივე კიდურის კუნთების დამბლა (კვადრიპლეგია) მეტყველებს ზურგის ტვინის ნივთიერების დაზიანებაზე. მსგავსი ნევროლოგიური სიმპტომების სირთულის ხარისხი გადამწყვეტია პროგნოზისათვის. ხშირია ლეტალური შედეგიც.
ხერხემლის სვეტის კისრის მაგნიტურ-რეზონანსულ ტომოგრაფიაზე (გვერდით გამოსახულებაზე) შეიძლება დავინახოთ C7 მალის გადანაცვლება და Th1 მალის სხეულის მოტეხილობა, რაც ქმნის ამ დონეზე ზურგის ტვინის ზეწოლას ტრავმის შემდეგ (მითითებულია ისრებით).
მალების ამოვარდნილობისა და ქვეამოვარდნილობის მკურნალობა
მალების ამოვარდნილობისა და ქვეამოვარდნილობის ჩასმა ადვილი არ არის თვით ნარკოზითაც კი. ხერხემლის სვეტის კისრის ნაწილის არასრული ცალმხრივი ამოვარდნილობები უფრო ადვილად სწორდება გლისონის მარყუჟით სხეულის გასწვრივ კისრის დაჭიმვით (თავის დაქაჩვით) და კისრის მობრუნებით საპირისპირო მხარეს. კისრის მალების სრული ამოვარდნილობები კი, ანუ ისინი, რომლებშიც გადაბმაა, საჭიროებენ მისგან გათავისუფლებას თავის ამოვარდნილობის მხარეს მოხრით და მისი შემდგომი როტაციით ჯანმრთელ მხარეს მუდმივი დაჭიმვის დროს. გადაბმისაგან გათავისუფლებისა და დაჭიმვის გაგრძელების შემდეგ საპირისპირო მანევრი ხორციელდება: თავის მობრუნება ჯანმრთელ მხარეს შემდგომი როტაციით ამოვარდნილობის მხარეს.
რეკომენდებულია კისრის მალების ფლექსიური ამოვარდნილობა გადავაქციოთ თავიდან როტაციულ, ცალმხრივ ამოვარდნილობად და შემდეგ ჩავსვათ იგი. ჩასმის შემდეგ ტარდება დამასტაბილებელი ოპერაცია მალების ფიქსაციისათვის (დისკექტომია წინა და უკანა სპონდილოდეზით). ამ მიზნით გამოიყენება სხვადასხვა კონსტრუქციის დამაფიქსირებელი ფირფიტები, იმპლანტები (კეიჯები) და ტრანსპედიკულარული დამაფიქსირებელი ჭანჭიკები.
ხერხემლის სვეტის კისრის ნაწილში მსგავსი ამოვარდნილობები ყველაზე ხშირად ხდება C3-C5, C5-C6 მალების დონეზე, ანუ ხერხემლის სვეტის კისრის ნაწილის შუა ნაწილში, სადაც წინა მიმართულებით მოძრაობა ყველაზე მეტია. კისრის ორი ზედა მალის (C1 და C2) არეში, სადაც ხრტილოვანი დისკები არაა, ხოლო შესახსრებები ფართოა, ისინი მიმაგრებულია იმდენად ძლიერი დამაკავშირებელი აპარატით, რომ ამოვარდნილობები ამ დონეზე იშვიათი და გამონაკლისი მოვლენაა. C1 მალის ამოვარდნილობა (ქალას ამოვარდნილობა ატლანტთან მიმართებით) შესაძლოა ან თავის მკვეთრი მოხრის ან მისი მობრუნების (როტაციის) დროს, რაც თითქმის ყოველთვის სიკვდილით მთავრდება.
იგივე შეიძლება ითქვას C1 მალის (ატლანტის) ამოვარდნებზე ქვევით მდებარე C2 მალის კბილთან მიმართებით, თუ მას თან არ ახლავს მისი კბილის მოტეხილობა. კისრის C2 მალა ძლიერადაა მიმაგრებული ატლანტის (C1 მალის) წინა რკალთან:
- განივი იოგებით
- ფრთისებრი იოგებით
- ჯვარედინა იოგებით კეფის დიდი ხვრელის (foraminis occipitalis magni) წინა მხრით ქალას კეფის ძვალში
კისრის კორსეტის (ფილადელფიის საყელოს) ტარება დაჭიმული იოგებისა და კისრის ტრავმირებული სახსრების მკურნალობისას.
თავის მკვეთრი დახრის დროს დაჭიმვით (მაგალითად, ჩამოხრჩობისას) ეს იოგები შეიძლება გაიხლიჩოს. C1 მალის (ატლანტის) წინ გადაადგილებისას C2 მალის კბილი სრესს ზურგის ტვინს ხერხემლის არხში და ამას მოჰყვება მომენტალური სიკვდილი. C2 მალის მოტეხილი კბილი წინ გადაადგილდება C1 მალის (ატლანტის) წინა რკალთან მიმართებით და ამ შემთხვევაში ზურგის ტვინი არ ექვემდებარება ზეწოლას. კისრის გაძლიერებული მოხრის (ჰიპერფლექსიის) დროს ხშირად აქ შეიძლება დაფიქსირდეს მალის სხეულების ან შესახსრებული მალების მოტეხილობები.
კისრის სუბაქსიალური (C3-C7) მალების სასახსრე მორჩების ამოვარდნილობის დროს კონსერვატიული მკურნალობა მდგომარეობს კისრის დროებით იმობილიზაციაში 6-დან 12 კვირამდე. ამ პერიოდში კისრის დაზიანებული იოგები, მყესები და კუნთები მოსვენებულ მდგომარეობაში აღდგენას ასწრებენ. ამ ვადების დაცვა განსაკუთრებით მნიშვნელოვანია იოგებისათვის, რადგანაც ნივთიერებათა ცვლის პროცესი მათში მნიშვნელოვნად შენელებულია, ვიდრე კუნთებში , რომლებშიც სისხლძარღვთა ქსელი კარგადაა განვითარებული. ხერხემლის სვეტის კისრის იმობილიზაციის მიზნით გამოიყენებენ კისრის კორსეტს (ფილადელფიურ საყელოს) ანდა შეზღუდვის შიდა სისტემას (Halo Sistem).
კისრის კორსეტის (ფილადელფიური საყელოს) ტარება კისრის მალების სასახსრე მორჩების ამოვარდნილობებისა და ქვეამოვარდნილობების მკურნალობისას.
კისრის სასახსრე მორჩების ამოვარდნილობის ოპერატიული მკურნალობა 2 ეტაპად სრულდება:
- ამოვარდნილობის დაუყოვნებლივი დახურული ჩასმა, შემდეგ მაგნიტურ-რეზონანსული ტომოგრაფია, შემდეგ კი კისრის მალების ქირურგიული სტაბილიზაცია
- დაუყოვნებლივი მაგნიტურ-რეზონანსული ტომოგრაფია, შემდეგ ამოვარდნილობის ღია ჩასმა კისრის მალების ქირურგიული სტაბილიზაციით.
ამ ეტაპების შესრულების თანმიმდევრობა დამოკიდებულია პაციენტის კლინიკურ სტატუსზე და დაზიანების არსებულ ტიპზე.
მკურნალობის პირველი ვარიანტი გამოიყენება კისრის მალების სასახსრე მორჩების ცალმხრივი და ორმხრივი ამოვარდნილობის დროს, თუ პაციენტს აქვს ნევროლოგიური სიმპტომები ცნობიერებაში და ადეკვატური ქცევა. დახურული ჩასმა არ უტარდებათ ავადმყოფებს, რომელთაც ცნობიერების დარღვევა და არაადეკვატური ქცევა აქვთ. ქირურგიული სტაბილიზაცია მოსდევს ამოვარდნილობის წარმატებით შესრულებულ დახურულ ჩასმას. ცალმხრივი ამოვარდნილობის ჩასმა ტექნიკურად უფრო რთულია, მაგრამ გაცილებით სტაბილურია ჩასმის შემდეგ. ორმხრივი ამოვარდნილობა ტექნიკურად ადვილად ჩასასმელია (უკანა გასწვრივი იოგის გახლეჩის გამო), მაგრამ ნაკლებად სტაბილურია ჩასმის შემდეგ.
ჩასმის ეტაპის შემდეგ ტარდება მაგნიტურ-რეზონანსული ტომოგრაფია და კისრის მალების შემდგომი ქირურგიული სტაბილიზაცია. ოპერაციები უკანა ტრანსპენდიკულარული ფიქსაციით და ხანდახან წინა დისკექტომია ფიქსაციით შეიძლება შესრულდეს მნიშვნელოვანი ზომების ამობურცულობის არარსებობის დროს. წინა დისკექტომია ფიქსაციით ყოველთვის ინიშნება მალთაშუა დისკის მთლიანობის გამოხატული დარღვევების დროს. კისრის მალების სასახსრე მორჩების დახურული ჩასმის შემთხვევათა დაახლოებით მესამედი შეიძლება უშედეგო აღმოჩნდეს და მოითხოვს ღია ჩასმის ტექნიკის გამოყენებას.
კისრის მალებისა და კეფის ძვლის ოპერაცია (უკანა ფიქსაციით) აქსიალური (C1-C2) მალებისა და კისერ-კეფის შესახსრების დონეზე.
მკურნალობის მეორე ვარიანტი გამოიყენება კისრის მალების სასახსრე მორჩების ცალმხრივი და ორმხრივი ამოვარდნების დროს, თუ პაციენტს აქვს ცნობიერების დარღვევები და არაადეკვატური ქცევა. ამ ვარიანტს ასევე იყენებენ იმ პაციენტებთან, რომელთა ამოვარდნილობის ჩასმა ვერ მოხერხდა დახურული წესით, ტარდება მაგნიტურ-რეზონანსული ტომოგრაფია, რის შემდეგაც უნდა ჩატარდეს ღია რეპოზიციის ოპერაცია და კისრის მალების სტაბილიზაცია. თუ თიაქრული ამობურცულობები წინაა ლოკალიზებული, მაშინ ტარდება წინა მიდგომით დისკექტომია.
კისრის მალების სასახსრე მორჩების ამოვარდნილობის ჩასმის ტექნიკა:
ტექნიკა |
აღწერილობა |
| დახურული ჩასმა | ხერხემლის სვეტის კისრის ღერძული დაჭიმვის დროს დატვირთვის მომატებისას თანდათან უმატებენ ძალას. კისრის მოხრაზე (თავის წინ დახრისას) დამატებითი მოძრაობამ შეიძლება ხელი შეუწყოს ამოვარდნის ჩასმას. დატვირთვის მომატებისას (ტრაქციული ძალა) დროგამოშვებით ტარდება ნევროლოგიური გასინჯვა და ხერხემლის სვეტის კისრის რენტგენოგრაფია. ნევროლოგიური სიმპტომების გაუარესების შემთხვევაში პაციენტს უწყვეტენ კისრის დაჭიმვას (ტრაქციას) და ატარებენ მაგნიტურ-რეზონანსულ ტომოგრაფიას. მალების ამოვარდნილობის დახურული ჩასმის ჩასატარებლად საჭიროა:
|
| წინა ღია ჩასმა და დისკექტომია ფიქსაციით | ეს მეთოდი ინიშნება:
|
| უკანა ჩასმა და ტრანსპედიკულარული სტაბილიზაცია | მკურნალობის ეს მეთოდი გამოიყენება:
|
| კომბინირებული წინა დეკომპრესია და უკანა ჩასმა/სტაბილიზაცია | ოპერაციის ეს მეთოდი ინიშნება დისკის თიაქრული წინა მიმართულებით ამობურცულობის არსებობის დროს. ეს ამობურცულობა მოითხოვს იმ ამოვარდნილობის დეკომპრესიას, რომელიც ვერ აღმოიფხვრა დახურული ან ღია წინა ჩასმის დროს. ოპერაციის ჩატარების ტექნიკის თავისებურებანი:
|
მკერდის ნაწილში ხერხემალი, რომელიც დაკავშირებულია ნეკნებთან, ნაკლებად მოძრავია და შეიძლება გადაადგილდეს მხოლოდ მეზობელი მალების მოტეხილობის შემდეგ.
იგივე შეიძლება ითქვას ხერხემლის სვეტის უფრო მეტად მოძრავ წელის ნაწილზე, რომელიც მიმაგრებულია ძლიერი გრძელი და მოკლე იოგებით. ხერხემლის სვეტის წელის ნაწილის დონეზე მოხრის დროს მოძრაობის მოცულობა მეტადაა გამოხატული, ვიდრე მისი როტაცია და წინ დახრა. წელის მალებს სასახსრე მორჩების ზედაპირი განლაგებული აქვთ ფრონტალურ სიბრტყეში. ეს ანატომიური თავისებურება ასევე ხელს უშლის წელის მალების ამოვარდნილობას მოხრის დროს.
L5 მალის სხეულის ქრონიკული გადაცურება გავიდან წინა ან უკან პირველად აღწერა კილიანმა (Killian) სპონდილოლიზისა და სპონდილოლისტეზის სახელით, ხოლო ლამბლმა (Lambl) უწოდა "ხერხემლის თვითამოვარდნა". სპონდილოლისტეზი მალების რკალების განვითარების თანდაყოლილი დეფექტის (სასახსრე მოჩებს შორის უბანი) გარდაუვალი შედეგია, ის ყველაზე ხშირად გვხვდება L5 მალის რკალში. ტურნერის მიერ აღწერილი სპონდილოლიზისა და სპონდილოლისტეზის კლინიკური სურათი გვხვდება როგორც ქალებში, ისე მამაკაცებშიც, ამ დეფექტის კლინიკური გამოვლინება სპონდილოლისტეზის სახით გვხვდება მკვეთრი ფიზიკური დატვირთვის გავლენით, სიმძიმეების აწევისას და ა.შ. განმეორებულმა ორსულობას შეიძლება ქალებში გამოიწვიოს იმავე სიმპტომის (სპონდილოლისტეზის) თანდათანობითი განვითარება, რადგან ნაყოფის ზრდის პროცესში ხდება იოგების დარბილება. იოგების დარბილება უზრუნველყოფს მენჯის ძვლების შესახსრების აუცილებელ მოძრაობას მშობიარობის დროს ნაყოფის დაუბრკოლებელი გამოსვლისათვის.
იხილეთ აგრეთვე
- ხერხემლის ანატომია
- ხერხემლის და ზურგის ტვინის თანდაყოლილი ანომალიები (კისრის ნეკნი, კლიპელ-ფეილის სინდრომი, სპინა ბიფიდა, საკრალიზაცია, ლუმბალიზაცია)
- გავა-თეძოს შესახსრების ოსტეოართროზი
- სპონდილოართროზი, მალთაშუა სახსრის ართროზი (ოსტეოართროზი)
- ზურგის ტვინის დაავადებები:
- ანკილოზირებადი სპონდილიტი (ბეხტერევის დაავადება)
- ხერხემლის იუვენილური ოსტეოქონდროზი (შეერმან-მაუს დაავადება)
- წელის ტკივილი (ზურგის ქვემო ნაწილის ტკივილი), საჯდომი ნერვის ანთება, იშიაზი
- კისრის, კეფისა და ხელის ტკივილის სიმპტომი, კისრის ნაწილის ოსტეოქონდროზი და თიაქარი
- წელის ტკივილი ორსულობის დროს
- მალების ამოვარდნილობა და ქვეამოვარდნილობა
- მალის ჰემანგიომა (ვერტებრალური ანგიომა)
- ხერხემლის (მალთაშუა დისკების) თიაქარი და პროტრუზია
- კოკციგოდინია (კუდუსუნის ტკივილი)
- ლუმბაგო (წელკავი), ლუმბალგია, ლუმბოიშიალგია
- ხერხემლის ოსტეოფიტები
- მალების სხეულების ოსტეოპოროზი (პირველადი და მეორეული)
- ნეკნთაშუა (ნეკნთაშორისი) ნევრალგია, ხერხემლის გულმკერდის არის ტკივილი
- მალთაშუა დისკოს დეგენერაციული დაავადება (ოსტეოქონდროზი) და მისი სიმპტომები
- ხერხემლის მოტეხილობა (კომპრესიული)
- დამბლის მქონე ავადმყოფის მოვლის წესები (ხელებისა და ფეხების კუნთების დამბლა, პარაპლეგია, ტეტრაპლეგია)
- საკროდინია (ტკივილი გავაში)
- გავა-თეძოს სახსრის ანთება (საკროილეიტი)
- ხერხემლის სკოლიოზი, წელში მოხრილობა, ტანადობის დარღვევა
- ხერხემლის სპონდილოზი
- სპონდილიტი (ტუბერკულოზური, ინფექციური ოსტეომიელიტი)
- სპონდილოლისტეზი (მალების გადანაცვლება, ხერხემლის სეგმენტის არასტაბილურობა)
- ხერხემლის არხის სტენოზი (სპინალური სტენოზი)
- კისრის ტრავმა (ქალა-კისრის სინდრომი)
- სპინალური ჩირქოვანი ეპიდურიტი










