ხერხემლის სკოლიოზი (გამრუდება), წელში მოხრილობა, ტანადობის დარღვევა
ხერხემლის სკოლიოზი (გამრუდება), წელში მოხრილობა, ტანადობის დარღვევა
ხერხემლის სკოლიოზი არის ხერხემლის ღერძის რკალისებრი გამრუდება ფრონტალურ სიბრტყეზე, ე.ი. მარჯვნივ და მარცხნივ. წარმოშობით სკოლიოზი შეიძლება იყოს როგორც თანდაყოლილი, ისე შეძენილი.
ხერხემლის სკოლიოზი ხშირად გვხვდება საყრდენ-მამოძრავებელი აპარატის ნერვული სისტემის შემაერთებელი ქსოვილის დიფუზიური დაზიანებების დროს. მას შეიძლება ჰქონდეს რეფლექტორული (მაგალითად, ტკივილის დროს - ეს ხერხემლის ანტალგიური სკოლიოზია) და ფსიქოლოგიური ხასიათიც კი (ემოციური ტრავმა, რომელსაც ბავშვი სკოლაში იღებს). ფართოდაა გავრცელებული ხერხემლის იდიოპათიური სკოლიოზი, ანდა სკოლიოზი, რომელიც გაურკვეველი წარმოშობისაა.
იმის მიხედვით, თუ სადაა ლოკალიზებული ხერხემლის ღერძის გამრუდების წვერი, სკოლიოზი იყოფა გულმკერდის ზედა ნაწილის სკოლიოზად, გულმკერდის სკოლიოზად (რომელიც ყველაზე ხშირად გვხვდება), გულმკერდ-წელის სკოლიოზად, წელის სკოლიოზად და კომბინირებულ სკოლიოზად (აქვს გამრუდების ორი წვერი).
ხერხემლის გამრუდების სიდიდის მიხედვით განარჩევენ სკოლიოზის ხარისხებს:
- ხერხემლის I ხარისხის სკოლიოზი (5°–10°)
- ხერხემლის II ხარისხის სკოლიოზი (11°–30°)
- ხერხემლის III ხარისხის სკოლიოზი (31°–60°)
- ხერხემლის IV ხარისხის სკოლიოზი (61° და მეტი)
სკოლიოზის დროს გამრუდების (დეფორმაციის) ხარისხს ადგენენ ხერხემლის რენტგენოგრაფიის (პირდაპირ პროექციაში) მონაცემების მიხედვით.
ნეკნების გამობურცვა ხერხემლის ღერძის გამრუდებით ხერხემლის სვეტის გულმკერდის სკოლიოზის მქონე ბავშვის ფლექსიურ სინჯზე.
ხერხემლის სვეტის გულმკერდისა და წელის ნაწილების სკოლიოზის მქონე ბავშვის ხერხემლის ღერძის გამრუდება.
ხერხემლის სკოლიოზის, წელში მოხრილობის, ტანადობის დარღვევის დიაგნოსტიკა
ხერხემლის სკოლიოზის დიაგნოსტიკისათვის გამოიყენება ორთოპედიული გასინჯვა, ასევე ხერხემლის რენტგენოგრაფია პირდაპირ და გვერდით პროექციაში, ხერხემლის კომპიუტერული ტომოგრაფია (CT). ბავშვობის ასაკში გამოვლენილი სკოლიოზისა და წელში მოხრილობის მკურნალობა ბავშვისა და მშობლის მხრიდან დიდ მოთმინებას მოითხოვს.
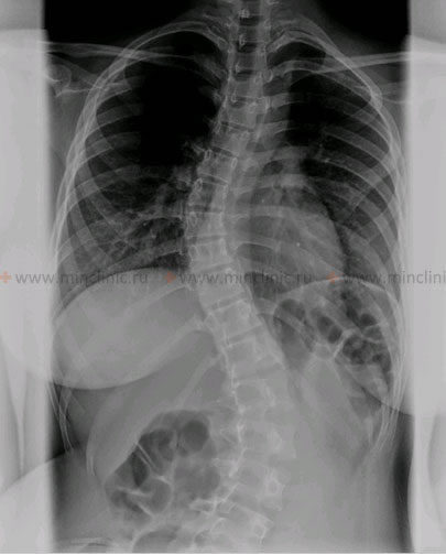
ხერხემლის იდიოპათიკური სკოლიოზი რენტგენოგრაფიაზე.
იდიოპათიკური სკოლიოზი ხერხემლის კომპიუტერულ ტომოგრაფიაზე (CT).
ხერხემლის სკოლიოზის, წელში მოხრილობის, ტანადობის დარღვევის მკურნალობა
ჩვენს კლინიკაში შეგასწავლიან საჭირო ვარჯიშებს, რომლების დაგეხმარებათ თავიდან აიცილოთ ხერხემლის სკოლიოზის პროგრესირება, ჩაგიტარდებათ სპეციალური მასაჟი და მანუალური თერაპია, რომელიც მოგიხსნით ხერხემლის ზედმეტ დეფორმაციას.
სპეციალური კორსეტის ტარება სკოლიოზისა და ტანადობის დარღვევის დროს.
ხანდახან სკოლიოზის დროს ტანადობის კორექციისათვის რეკომენდებულია სპეციალური კორსეტები. მათი ტარებისას უმნიშვნელოდ მცირდება ხერხემლის ზედმეტი დეფორმაცია და ხდება ზურგის კუნთების განტვირთვა.
იხილეთ აგრეთვე
- ხერხემლის ანატომია
- ხერხემლის და ზურგის ტვინის თანდაყოლილი ანომალიები (კისრის ნეკნი, კლიპელ-ფეილის სინდრომი, სპინა ბიფიდა, საკრალიზაცია, ლუმბალიზაცია)
- გავა-თეძოს შესახსრების ოსტეოართროზი
- სპონდილოართროზი, მალთაშუა სახსრის ართროზი (ოსტეოართროზი)
- ზურგის ტვინის დაავადებები:
- ანკილოზირებადი სპონდილიტი (ბეხტერევის დაავადება)
- ხერხემლის იუვენილური ოსტეოქონდროზი (შეერმან-მაუს დაავადება)
- წელის ტკივილი (ზურგის ქვემო ნაწილის ტკივილი), საჯდომი ნერვის ანთება, იშიაზი
- კისრის, კეფისა და ხელის ტკივილის სიმპტომი, კისრის ნაწილის ოსტეოქონდროზი და თიაქარი
- წელის ტკივილი ორსულობის დროს
- მალების ამოვარდნილობა და ქვეამოვარდნილობა
- მალის ჰემანგიომა (ვერტებრალური ანგიომა)
- ხერხემლის (მალთაშუა დისკების) თიაქარი და პროტრუზია
- კოკციგოდინია (კუდუსუნის ტკივილი)
- ლუმბაგო (წელკავი), ლუმბალგია, ლუმბოიშიალგია
- ხერხემლის ოსტეოფიტები
- მალების სხეულების ოსტეოპოროზი (პირველადი და მეორეული)
- ნეკნთაშუა (ნეკნთაშორისი) ნევრალგია, ხერხემლის გულმკერდის არის ტკივილი
- მალთაშუა დისკოს დეგენერაციული დაავადება (ოსტეოქონდროზი) და მისი სიმპტომები
- ხერხემლის მოტეხილობა (კომპრესიული)
- დამბლის მქონე ავადმყოფის მოვლის წესები (ხელებისა და ფეხების კუნთების დამბლა, პარაპლეგია, ტეტრაპლეგია)
- საკროდინია (ტკივილი გავაში)
- გავა-თეძოს სახსრის ანთება (საკროილეიტი)
- ხერხემლის სკოლიოზი (გამრუდება), წელში მოხრილობა, ტანადობის დარღვევა
- ხერხემლის სპონდილოზი
- სპონდილიტი (ტუბერკულოზური, ინფექციური ოსტეომიელიტი)
- სპონდილოლისტეზი (მალების გადანაცვლება, ხერხემლის სეგმენტის არასტაბილურობა)
- ხერხემლის არხის სტენოზი (სპინალური სტენოზი)
- კისრის ტრავმა (ქალა-კისრის სინდრომი)
- სპინალური ჩირქოვანი ეპიდურიტი







