თავის ტვინის ნახევარსფეროების და ნათხემის აბსცესი
- თავის ტვინის ნახევარსფეროების და ნათხემის აბსცესი
- თავის ტვინის ნახევარსფეროების და ნათხემის აბსცესის გაჩენის მიზეზები
- თავის ტვინის ნახევარსფეროების და ნათხემის აბსცესის სიმპტომები და კლინიკური მიმდინარეობა
- თავის ტვინის ნახევარსფეროების და ნათხემის აბსცესის დიაგნოსტიკა
- თავის ტვინის ნახევარსფეროების და ნათხემის აბსცესის მკურნალობა და პროფილაქტიკა
თავის ტვინის ნახევარსფეროების და ნათხემის აბსცესი
თავის ტვინის აბსცესების უმრავლესობა მდებარეობს ტვინის ნახევარსფეროს საფეთქლის წილის თეთრ ნივთიერებაში ან ნათხემში, ოტიტის დროს დაზიანებული საფეთქლის ძვლის მეზობლად. თავის ტვინის ნახევარსფეროების აბსცესი იშვიათად გვხვდება შუბლის, თხემის და კეფის წილში, ტვინის ხიდში, დიდი ტვინის ფეხში, მოგრძო ტვინში, ზურგის ტვინში და აგრეთვე ოტიტით დაავადებული ყურის მოპირდაპირე მხარეს.
თავის ტვინის ნახევარსფეროების და ნათხემის აბსცესის გაჩენის მიზეზები
მიზეზები და რისკის ფაქტორები:
- ოტოგენური ინფექციები: ინფექციები, რომლებიც წარმოიქმნება შუა ყურიდან ან მასტოიდური სინუსებიდან (შუა ოტიტი, მასტოიდიტი), ხშირი მიზეზია, განსაკუთრებით ქოლესტეატომით გართულებისას.
- სინუსიტი: პარანასალური სინუსების ინფექციები შეიძლება გავრცელდეს ტვინზე.
- თავის ტრავმა: შეღწევადი თავის დაზიანებები შეიძლება შეიტანოს ბაქტერიები ტვინში.
- ქირურგიული პროცედურები: ნეიროქირურგიულმა პროცედურებმა, იშვიათ შემთხვევებში, შეიძლება გამოიწვიოს აბსცესის წარმოქმნა.
- ჰემატოგენური გავრცელება: სხეულის სხვა ნაწილებიდან მომდინარე ინფექციები (მაგ., ფილტვების ინფექციები, ენდოკარდიტი) შეიძლება გავრცელდეს ტვინზე სისხლის მიმოქცევის საშუალებით.
- კბილების ინფექციები: იშვიათ შემთხვევებში, მძიმე სტომატოლოგიურმა ინფექციებმა შეიძლება გამოიწვიოს ტვინის აბსცესები.
- იმუნოკომპრომისირებული პირები: დასუსტებული იმუნური სისტემის მქონე ადამიანები უფრო მაღალი რისკის ქვეშ არიან.
თავის ტვინის ნახევარსფეროების აბსცესის გამომწვევი მიზეზი არის ტრავმული და მეტასტაზური ფაქტორი. თავის ტვინის ნახევარსფეროების აბსცესს უფრო ხშირად ვხვდებით შუა ყურის ქრონიკული ჩირქოვანი ანთების დროს. შუა ყურის მწვავე ანთების დროს ტვინის ნახევარსფეროების აბსცესი ჩნდება ყურის დაფის გახევის გარეშე და აგრეთვე თავს იჩენს შუა ყურის მწვავე ანთების კლინიკური მკურნალობის შემდეგ ნორმალური ოტოსკოპიური სურათით.
შუა ყურის ქრონიკული ჩირქოვანი ანთების დროს თავის ტვინიდ ნახევარსფეროების აბსცესი უფრო ხშირად ჩნდება ეპიტიმპანიტის და მეზოეპიტიმპანიტის დროს, გართულებული ქოლესტეატომით. ასევე შესაძლოა თავის ტვინის ნახევარსფეროების აბსცესის შემთხვევები მეზოტიმპანიტის დროს.
თავის ტვინის ნახევარსფეროების აბსცესის ჩირქში ხშირად ნახულობენ სხვადასხვა სახის სტაფილოკოკებს, სტრეპტოკოკებს, დიპლოკოკებს, ნაწლავის ჩხირს, ანაერობებს, პროთეებს და ა.შ. ხშირად თავის ტვინის ნახევარსფეროების აბსცესის ჩირქში არის შერეული ფლორა. თავის ტვინის ნახევარსფეროების აბსცესიდან გადმონერგილი ჩირქის ფლორა ყოველთვის არ უტოლდება ყურიდან გამონადენ ჩირქის ფლორას, რაც იხსნება იმით, რომ ყურის ანთების გამომწვევ მიკრობებს ემატება სხვა დამატებითი გამომწვევები პათოგენი.
ფაქტორები, რომლებიც ხელს უწყობენ თავის ტვინის ნახევარსფეროების აბსცესის გაჩენას, არიან:
- ორგანიზმის დაბალი წინააღმდეგობა ზოგადი ინფექციური დაავადებების მიმართ
- ქალას ტრავმა
- საფეთქლის ძვლის განსაკუთრებული აგებულობა (გადამეტებული პნევმატიზაცია, განსაკუთრებით საფეთქლის ძვლის პირამიდის, სიგმოიდური სინუსის ახლოს მდებარეობა, ქალას შუა ფოსოს დაბალი მდებარეობა და ა.შ.)
თავის ტვინის აბსცესის დროს ინფექციის გავრცელების გზები საფეთქლის ძვლიდან თავის ტვინში განსხვავდება. თავის ტვინის საფეთქლის წილის აბსცესის დროს ინფექცია ხშირად გადადის საკონტაქტო გზით, რომლის დროსაც არსებობს სხვა სახის ცვლილებები, როგორიცაა შუა ყურის სახურავის ჩამოშლა. ინფექცია შეიძლება გადავიდეს სისხლით ყურის დაფის სახურავის ვენების თრომბოზით ან ტვინის მაგარი გარსის სინუსების თრომბოზით (განივი, კავერნოზული, ზემო კლდოვანი სინუსი). ინფექციის გავრცელება შეიძლება თავის ტვინის აბსცესის ფორმირებით თანდაყოლილი ყურის დაფის სახურავის დეფექტის გზით ან ქალას ნაწიბურებით.
ნათხემის აბსცესის დროს ინფექცია ძირითადად ვრცელდება დაზიანებული ლაბირინთიდან (შიგნითა ყურის ჩირქოვანი ანთების დროს). ქრონიკული ლაბირინთიტის დროს ინფექცია შეიძლება გადავიდეს ნათხემში ძვლოვანი ლაბირინტის დაშლის შემდეგ (ყველაზე ხშირად ნახევარწრიულ არხში) პერელაბირინტული უჯრედებით (საკონტაქტო გზით) ან არსებული გზებით (კარიბჭისა და ლოკოკინა წყალსადენები და სასმენი ლულა).
იშვიათი ლოკალიზაციის აბსცესები, რომლებიც დაშორებულია საფეთქლის წილისა და საფეთქლის ძვლის დაზიანებული კერებიდან, ვლინდება განივი სინუსის თრომბოზის შედეგად. ინფექციის შემდეგი გავრცელება შეიძლება იყოს კონტაქტური გზით ან ტვინის პატარა ვენებში სისხლის უკუსვლით ან მეტასტაზირებით. ასეთი სახით ვლინდება თავის ტვინის ოტოგენური აბსცესები შუბლის, თხემის და კეფის წილებში და ასევე მრავალრიცხოვანი და კონტრალატერალური აბსცესები.
საფეთქლის ძვლიდან ქალას ღრუში ინფექციის გავრცელებისას ტვინის მაგარი გარსის გარეთა შრე, რომელიც გამოირჩევა სიმკვრივით და მდიდარი სისხლის მიმოქცევით, ხშირად წარმოადგენს რთულად გადასალახ ბარიერს. ამის გამო იფექციური პროცესი შემოიფარგლება მხოლოდ ეპიდურალური აბსცესით და მენინგიტით და შემდეგ არ ვრცელდება. იშვიათ შემთხვევებში ექსტრადურალური აბსცესი შეიძლება იყოს ტვინის აბსცესის წინა ეტაპი.
ტვინის მაგარი გარსის შიდა შრეების შეხორცება რბილ გარსთან და ქსელისებურ გარსთან, რბილი და ქსელისებური გარსის შეხორცება თავის ტვინის ნივთიერებასთან ხელს უშლის ინფექციის გავრცელებას ქსელისებური გარსის ქვედა სივრცეებში და ამით აფერხებს გავრცელებული მენინგიტის განვიტარებას. იგივე შეხორცებები, განსაკუთრებით მათი ვასკულარიზაციის დროს, ხელს უწყობს თავის ტვინის ქსოვილში ინფექციის გავრცელებას.
თავის ტვინში ინფექციის გავრცელების ყველაზე ხშირი გზა არის ვენური (ინფექციის გავრცელების უკუსვლა თრომბოზის მეშვეობით) ან პერივასკულარული (ტვინის რბილი გარსის ვენების გარშემო ლიმფური სივრცების მეშვეობით).
ინფექციის გავრცელება თავის ტვინში არტერიების მეშვეობით ხდება იშვიათად. ამავე დროს განიხილება არტერიის თრომბოზი ინფექციური ემბოლის გატარებით თავის ტვინის თეთრ ნივთიერებაში.
ჩირქოვანი ინფექციის დანერგვას თავის ტვინში ყოველთვის არ მივყავართ აბსცესის განვითარებასთან. თავის ტვინის აბსცესი ხშირად ვლინდება ორგანიზმის იმუნობიოლოგიური რეაქციის დაწევის დროს.
აბსცესის ტიპი მდებარეობის მიხედვით:
- თავის ტვინის ნახევარსფეროს აბსცესი:
- ეს აბსცესები წარმოიქმნება თავის ტვინის დიდ ნაწილში, რომელიც ყველაზე დიდი ნაწილია ტვინისა.
- თავის ტვინის საფეთქლის წილის აბსცესები ხშირია მათი შუა ყურთან სიახლოვის გამო.
- შუბლის, თხემისა და კეფის წილის აბსცესებიც ასევე შეიძლება განვითარდეს.
- ნათხემის აბსცესი: ეს აბსცესები წარმოიქმნება ნათხემში, რომელიც აკონტროლებს წონასწორობას და კოორდინაციას. ისინი ხშირად გამოწვეულია ოტოგენური ინფექციებით, რომლებიც ვრცელდება თავის კალას უკანა ფოსოში.
თავის ტვინის ნახევარსფეროების და ნათხემის აბსცესის სიმპტომები და კლინიკური მიმდინარეობა
სიმპტომები, რომლებიც გვხვდება თავის ტვინის ნახევარსფეროების და ნათხემის აბსცესის დროს, განსხვავდება აბსცესის ლოკალიზაციის, ტვინის გარშემო ქსოვილების რეაქციის, შიდაქალას წნევის და სხვა ტიპის გავლენით. სიმპტომები დაყოფილია შემდეგნაირად:
- თავის ტკივილი (ხშირად ძლიერი)
- ცხელება
- გულისრევა და ღებინება
- ფსიქიკური მდგომარეობის ცვლილებები (დაბნეულობა, ძილიანობა, კომა)
- ფოკალური ნევროლოგიური დეფიციტები (სისუსტე, კრუნჩხვები, მეტყველების სირთულეები, მხედველობის დარღვევები, კოორდინაციის პრობლემები)
- ნისტაგმი ნათხემის აბსცესის შემთხვევაში
- კისრის დაძაბულობა მენინგიტის შემთხვევაში
თავის ტვინის ჩირქოვანი აბსცესის მიმდინარეობისას განასხვავებენ: დაწყებით, დახურულ (ლატენტური), გამოკვეთილ და ბოლო (ტერმინალურ) სტადიებს. ტვინის ოტოგენური აბსცესი ჩნდება გამოკვეთილ სტადიაში. ხშირად დაწყებითი სტადია ვლინდება დაუკვირვებლად, გარკვეული სტადია არ არსებობს. ამის შედეგად ტვინის აბსცესს აღმოაჩენენ დაგვიანებით, საოპერაციო მაგიდასთან ან პათოლოანატომიურ გამოკვლევაზე.
ზოგადინფექციურ სიმპტომად ითვლება სახის შეწუხებული გამომეტყველება (უფრო შემდეგ სტადიებში), დასუსტება, შეკრულობა და მშრალი ენა ნადებით, დაბალი მადით ან მადის უქონლობით. იშვიათად ხდება მადის მომატება (ბულემია).
ერითროციტების დალექვის სიჩქარე (ედს) იმატებს აბსცესის დროს, რომელიც მიმდენარეობს გართულების გარეშე (არ მოჰყვება მენინგიტი და სეპსისი), ასევე აღინიშნება საშუალო ლეიკოციტოზი, ლეიკოციტური პარამეტრები (ლეიკოციტური ფორმულა) ნაკლებად იცვლება. როცა თავის ტვინის აბსცესი არ არის გართულებული სხეულის ტემპერატურა არის ნორმალური ან სუბფებრილური, მაღალი ტემპერატურა ვლინდება დროგამოშვებით და არ არის მუდმივი.
თავის ტვინის აბსცესის დროს თავის ტვინის ზოგადი სიმპტომებიდან ყველაზე ხშირია თავის ტკივილი. თავის ტკივილი ზოგჯერ არის აუტანელი (შიდა ქალის წნევის მნიშვნელოვნად მომატების დროს). თავის ტკივილი ატარებს გავრცელებულ ხასიათს, ან შეიძლება იყოს ლოკალიზებული აბსცესის მხარეს, შუბლის ან თხემ-საფეთქლის წილის მხარეს, ხოლო ნათხემის აბსცესის დროს შუბლის ან კეფის არეში.
ნათხემის აბსცესის დროს ხშირად ვლინდება ღებინება. დამახასიათებელი მუდმივი ღებინება, რომელიც ვლინდება მოულოდნელად და არ არის დაკავშირებული კვებასთან, არ მოჰყვება გულისრევა.
თავის ტვინის აბსცესის გარკვეული სტადიის დროს ვლინდება ბრადიკარდია. ცვლილებები თვალის ფსკერზე (მხედველობის ნერვის დისკოს შეშუპება) უვითარდებათ ავადმყოფთა ნაწილს და ჩვეულებრივ უერთდება თავის ტვინის ზოგად და კეროვან სიმპტომებს. მენინგეალური სიმპტომები ხშირად შეიძლება გამოვლინდეს თავის ტვინის აბსცესის დროს გართულების გარეშე.
როდესაც თავის ტვინის აბსცესი არ არის გართულებული, ლუმბალური პუნქციის შემდეგ თავ-ზურგ-ტვინის სითხეში ვლინდება საშუალო რაოდენობით ცილის მომატება და ხანდახან უმნიშვნელო პლეოციტოზი.
თავის ტვინის აბსცესის სიმპტომებია: გაბრუება, ქმედების შენელება, მოთენთილობა და აპათია. სხვა ფსიქიკური დარღვევებიდან გვხვდება ხასიათის და ინტელექტის ცვლილება, პათოლოგიური დაბნეულობა და გულმავიწყობა. ავადმყოფები სურვილის გარეშე და დაუყოვნებლივ არ პასუხობენ კითხვებს და გამოხატავენ ნაკლებ ინტერესს გარშემო მყოფთა მიმართ. ძალიან იშვიათად ვხვდებით მწვავე ფსიქოზს, სისტემატიურ ბოდვას და სხვა მძიმე ფსიქიკურ დარღვევებს.
შუბლის წილის აბსცესის დროს ხშირად გვხვდება ავადმყოფის უსაფუძვლო ეიფორია და გადამეტებული საუბარი.
თავის ტვინის საფეთქლის წილის აბსცესის დროს კეროვანი სიმპტომები გამოხატულია სენსორულ-ამნესტიკური აფაზიით თუ ის ლოკალიზებულია მხოლოდ მარჯვენა საფეთქლის წილში (თუ ავადმყოფი არის მემარჯვენე). უფრო ხშირად თავის ტვინის საფეთქლის წილის აბსცესის დროს სიმპტომად ვლინდება ჰემიანოფსია (ძირითადად ორივე თვალიდან გომონიმური მხედველობის პერიმეტრის მარჯვენა ან მარცხენა ნაწილის დაკარგვა), მაგრამ საჭირო გამოკვლევის (პერიმეტრიის) ჩატარება ხერხდება ძალიან იშვიათად.
მხედველობის ველის შემოწმება პერიმეტრიის დროს ავლენს მის დეფექტებს და დეფექტების მდებარეობას.
ნათხემის აბსცესის დროს კეროვანი სიმპტომებიდან აღინიშნება სპონტანური ნისტაგმი უფრო ხშირად აბსცესის ლოკალიზაციის მიმართულებით. ნისტაგმის ასეთი მიმართულება არის გამორჩეულად დიაგნოსტიკურად ფასოვანი დაავადებული ყურის ლაბირინთის გათიშვის დროს. კეროვან სიმპტომებს ასევე ეკუთვნის ტესტის დროს ცხვირის წვერზე თითის აცილება, ადიადოხოკინეზი, სტატიკურ-კინეტიკური დარღვევები გამოხატული გვერდზე გადახრით ან არამგრადობით და ვარდნით რომბერგის ტესტის ჩატარებისას ან სიარულის დროს. ავადმყოფის მძიმე მდგომარეობის გამო სიარულისას გვერდზე გადახრა ან დავარდნა ვერ გამოვლინდება. მნიშვნელოვან სიმპტომად ითვლება კუნთების ტონუსის დარღვევა თავის ტვინის აბსცესის მხარეს და ასევე ხანდახან გამოხატულია მეტყველების დარღვევა დიზარტრიის სახით.
კეროვანი სიმპტომები ნათხემის აბსცესის დროს იგივეა რაც ვესტიბულარული სისტემის დაზიანების დროს თავის ტვინის ხიდსა და მოგრძო ტვინში.
ნათხემის აბსცესის დროს კიდურებისს პარეზი ვლინდება იშვიათად და გამოიხატება აბსცესის მხარეს. 12 წყვილი (კრანიალური) ნერვის მიერ ინერვირებული კუნთები (თვალის მამოძრავებელი, სამწვერა, განმზიდველი და სახის ნერვების პერიფერიული სახეობით) ხშირად ვლინდება გართულებული ნათხემის აბსცესის დროს.
კეროვანი სიმპტომები ნათხემის აბსცესის დროს ხშირად არაა გამოხატული ან ვლინდება გვიან. მარჯვენა საფეთქლის, თხემის, კეფის და სხვა იშვიათი ლოკალიზაციის აბსცესის დროს კეროვანი სიმპტომები უფრო ხშირად არ ვლინდება.
თავის ტვინის საფეთქლის წილის დაშორებითი სიმპტომები გამოწვეულია აბსცესისგან გადაცემითი ზეწოლით დაშორებულ დიდ ტვინზე, ნათხემზე, მოგრძო ტვინზე და სხვა მხარეებზე, ან გავრცელებული შეშუპებით ან ენცეფალიტით ჩამოთვლილ მხარეებზე. ზოგიერთ ავადმყოფს თავის ტვინის აბსცესის დროს უვითარდება პირამიდული გზის დარღვევის სიმპტომები (კიდურის პარეზი ან დამბლა აბსცესის მოპირდაპირე მხარეს, მგრძნობელობის დაქვეითება, პათოლოგიური რეფლექსები), ხანდახან ჯექსონის ტიპის ეპილეფსია, ხშირად 12 წყვილი (კრანიალური) ნერვის მიერ ინერვირებული კუნთების პარეზი ან დამბლა (თვალის მამოძრავებელი ნერვის, სახის ნერვის ცენტრალური ტიპით, განმზიდველი, სამწვერა, ენისქვეშა და იშვიათად სხვა ნერვის).
თავის ტვინის აბსცესის მიმდინარეობის დროს დასაწყის სტადიაში ავადმყოფთა უმრავლესობას აღენიშნებათ მოკლევადიანი ტემპერატურის მომატება, ციება, არამწვავე თავის ტკივილი და გულისრევა, რაც არ იწვევს ეჭვს. ეს დასაწყისი სტადია უფრო ხშირად ფასდება როგორც ყურში მიმდინარე პროცესის გამწვავება და ზოგჯერ არც მიიპყრობს ექიმის ან ავადმყოფის ყურადღებას. შემდეგ მოჰყვება შედარებით გრძელი ან ხანმოკლე პერიოდი (ლატენტური სტადია) — იშვიათად ერთ წლამდე ან ზემოდ, როდესაც დამახასიათებელი სიმპტომები არ არის გამოხატული და სხვა სიმპტომები (ყველაზე ხშირად პერიოდული არამწვავე თავის ტკივილი) უკავშირდება ყურში მიმდინარე ძირითად პროცესს.
გადასვლა გამოხატულ სტადიაში ვლინდება აბსცესის მნიშვნელოვანი გავრცელების ან ენცეფალიტის ზონის დროს თავის ტვინის შეშუპებით და გაჟღენთვით, რომელსაც მოჰყვება შიდა ქალის წნევის მომატება (ინტრაკრანიალური ჰიპერტენზია). ვლინდება თავის ტვინის ზოგადი სიმპტომები, ამავე დროს კეროვანი სიმპტომები ყოველთვის არაა გამოხატული. ზოგჯერ გამოხატული სტადია იმდენად მალე გადადის ტერმინალურ სტადიაში რომ ავადმყოფი გადაჰყავთ საავადმყოფოში და უკეთებენ ოპერაციას.
თავის ტვინის აბსცესის ტერმინალური სტადია არის შედეგი, რომელიც გამოწვეულია პროგრესულად მიმდინარე ენცეფალიტით ან თავის ტვინის შეშუპების და შიდა ქალის წნევის მომატებით მოგრძო ტვინზე ზეწოლით ან გადახრით, რის შედეგადაც ზიანდება სასუნთქი ცენტრი და ვლინდება სასუნთქი სისტემის კუნთების დამბლა. ზოგიერთ შემთხვევაში ტერმინალური სტადია ვითარდება აბსცესის პარკუჭში ან სუბარაქნოიდურ სივრცეში გაჟონვის დროს. ამ დროს განვითარებულ მენინგიტს აქვს სწრაფი მიმდინარეობა და შეიძლება მოკლე ხანში (12–24 სთ) გამოიწვიოს სიკვდილი.
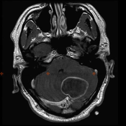
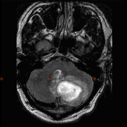
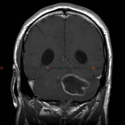
თავის ტვინის ნახევარსფეროების და ნათხემის აბსცესის დიაგნოსტიკა
ზემოთ აღწერილი თავის ტვინის კლინიკური სურათი ხსნის დიაგნოსტიკურ სირთულეს კეროვანი სიმპტომების გარეშე. გაურთულებული აბსცესის დროს (მენინგიტის ან სეპსისის გარეშე) წინასწარი დიაგნოზი დაფუძნებულია ზოგადი ავადმყოფის სიმძიმის მდგომარეობაზე ყურში არსებულ ჩირქოვანი პროცესის დროს, ნორმალური ან ოდნავ მომატებული ტემპერატურით, მწვავე თავის ტკივილით და ბრადიკარდიით.
მაგნიტურ-რეზონანსული ტომოგრაფია ტარდება თავის ტვინის აბსცესის ეჭვზე.
ავადმყოფებში გართულებული აბსცესის დროს მენინგიტის კლინიკური სურათი ფარავს თავის ტვინის აბსცესის სიმპტომებს, რაც ძალიან უშლის ხელს დიაგნოზის დასმას. კეროვანი ნევროლოგიური სიმპტომების არსებობის დროს დიაგნოზის დასმა, ბუნებრივია, არ არის შეფერხებული.
საფუძვლიანი ეჭვით თავის ტვინის ოტოგენურ აბსცესზე დიაგნოზი ისმევა ოპერაციის დროს (ზოგჯერ ამავე დროს ავლენენ ცვლილებებს ქალას შუა და უკანა ფოსოების მაგარ გარსზე ან ავლენენ ფისტულას აბსცესის ღრუს მიმართულებით) თავის ტვინის პუნქციით (საფეთქლის წილის ან ნათხემის).
დაფარული ან "ცივი" თავის ტვინის აბსცესის მიმდინარეობის დროს (უმეტესად ქრონიკული ინკაფსულირებული აბსცესის დროს შიდა ქალის წნევის მნიშვნელოვანი მომატების გარეშე) ხშირად გამოიყენება დამატებითი დიაგნოსტიკური კვლევები, როგორიცაა:
- დაავადების ისტორია და ფიზიკური გამოკვლევა: აუცილებელია ნევროლოგიური სტატუსის გამოკვლევა.
- ნეიროვიზუალიზაცია:
- მრტ არის სასურველი გამოსახულების მეთოდი ტვინის აბსცესების დიაგნოსტიკისთვის.
- კტ სკანირებაც შეიძლება გამოყენებულ იქნას.
- ლაბორატორიული ტესტები:
- სისხლის ანალიზები (აერთო სისხლის ანალიზი, ედს, CRP) შეიძლება მიუთითებდეს ინფექციაზე.
- ლუმბალური პუნქცია შეიძლება ჩატარდეს, მაგრამ ის უკუნაჩვენებია თავის ტვინის შიდა წნევის მომატების შემთხვევაში.
- აბსცესის მასალის კულტურები, რომლებიც მიიღება ოპერაციის დროს, აუცილებელია გამომწვევი ინფექციის იდენტიფიცირებისთვის.
თავის ტვინის აბსცესების სტადიები:
სტადია (ხანგრძლივობა) |
ჰისტოლოგიური ნიშნები |
CT და MRI ტომოგრაფია |
წინააღმდეგობის გაწევა ასპირაციასთან |
| I — ადრეული ცერებრიტი (5 დღიდან) |
ნაკლებად გამიჯნული ანთება | CT: სქელი რგოლის ფორმის გამოკვეთა MRI: T1 ჰიპოინტენსიური, T2 ჰიპერინტენსიური |
მსუბუქი |
| II — გვიანი ცერებრიტი (5 დღე – 2 კვირა) |
ნეკროზული ცენტრის განვითარება | წინააღმდეგობის არ ქონა | |
| III — ადრეული კაფსულა (2–3 კვირა) |
გარსს შემოვლებული ნეოვასკულარული რეტიკულარული ქსელი | CT: თხელი რგოლის ფორმის გამოკვეთა MRI: T1 ჰიპოინტენსიური — შეშუპება/ცენტრი, ჰიპერინტენსიური — კაფსულა, T2 ჰიპერინტენსიური — შეშუპება, კაფსულა და ცენტრალურად შეზღუდული დიფუზია |
წინააღმდეგობის არ ქონა |
| IV — გვიანი კაფსულა (3 კვირაზე მეტი) |
გლიოზით შემოვლებული კოლაგენის კაფსულა | მყარი კაფსულა |
თავის ტვინის ნახევარსფეროების და ნათხემის აბსცესის მკურნალობა და პროფილაქტიკა
მკურნალობის ვარიანტები:
- ანტიბიოტიკოთერაპია: გრძელვადიანი ინტრავენური ანტიბიოტიკები გადამწყვეტია.
- ქირურგიული ჩარევა:
- აბსცესის ასპირაცია (ნემსისა და შპრიცის გამოყენებით).
- აბსცესის ამოკვეთა.
- ქირურგიული ჩარევა თითქმის ყოველთვის აუცილებელია.
- თავის ტვინის შიგნითა წნევის მართვა: შეიძლება საჭირო გახდეს მედიკამენტები ან ქირურგიული პროცედურები ტვინის შეშუპების შესამცირებლად.
თავის ტვინის აბსცესის ეჭვის დროს ტარდება ოპერაცია საფეთქლის ძვალზე — უბრალო შუა ყურის მწვავე ოტიტის ან რადიკალური ქრონიკული ჩირქოვანი შუა ყურის ოტიტის დროს. ფართოდ გამოაჩენენ მაგარ გარსს ქალას შუა და უკანა ფოსოების ნაწილში (ზოგჯერ მაგარი გარსი გამოიხატება პათოლოგიური პროცესით, რომელმაც დააზიანა მასთან ახლო მდებარე ძვალი) ოპერაციის დროს აღმოჩენების ან სიმპტომების მიხედვით.
თუ ტვინის მაგარი გარსი არ არის შეცვლილი და ასევე პაციენტს არ აღენიშნება ნევროლოგიური კეროვანი სიმპტომები და მწვავე შიდა ქალის წნევის მომატება მაშინ თავის ტვინის პუნქცია შეიძლება არ ჩატარდეს და ასევე დაკვირვებულ იქნას ოპერაციის შემდეგ სიმპტომების დინამიკა. წინააღმდეგ შემთხვევაში ატარებენ პუნქციას თავის ტვინის საფეთქლის წილსა და ნათხემში. აბსცესის აღმოჩენის დროს საჭიროა ოპერაციული ჩარევა.
თავის ტვინის აბსცესის მკურნალობა შეიძლება იყოს დახურული (რამდენიმე პუნქცია ჩირქის ასპირაციით და აბსცესის ღრუში ანტიბიოტიკების შეყვანა) და ღია (აბსცესის ფართო გაშლა მაგარი გარსის გაჭრის შემდეგ) შემდგომი აბსცესის ღრუს დრენაჟით. ორივე მეთოდი ტარდება ოტოქირურგის მიერ, საუკეთესო შედეგები მიღებულ იქნა ოპერაციის ღია მეთოდის დროს, რომელიც იძლევა აბსცესის ღრუზე უკეთეს კონტროლს და აუმჯობესებს ჩირქის გამოდენას.
ნეიროქირურგები, ტრავმატული ან მეტასტატიკური (არაოტოგენური) თავის ტვინის აბსცესების მკურნალობის გამოცდილებაზე, ირჩევენ აბსცესთან მიდგომას არაინფიცირებული მხრიდან — საფეთქლის ძვლის ქიცვის ნაწილიდან (თავის ტვინის საფეთქლის წილის აბსცესის დროს) ან კეფის ძვლის მხრიდან (თავის ტვინის ნათხემის აბსცესის დროს). ასეთი მიდგომისას არ იხსნება შუა ყურთან ახლოს მდებარე ღრუები, რაც არის ამ მეთოდის ნაკლი. ამასთან ერთად ნეიროქირურგები მთლიანად ამოკვეთენ აბსცესს (თავის კაფსულიანად, თუ ის არსებობს).
ნეიროქირურგიული მკურნალობის მეთოდი უეჭვოდ ნაჩვენებია მრავლობითი ოტოგენური ან კონტრალატერალური აბსცესის დროს, ან ყურში არსებულ პირველად კერებთან დაშორებულ აბსცესის დროს და ასევე ქრონიკული ოტოგენური აბსცესის მიმდინარეობის დროს, რომელსაც აქვს ძალიან მაგარი კაფსულა. უმეტეს შემთხვევებში ყველაზე კარგი ქირურგიული ჩარევის მეთოდია ოტოქირურგიული ღია მეთოდი, რომლის დროსაც ერთდროულად ამოიკვეთება ჩირქის კერა ყურში და ფართოდ იხსნება თავის ტვინის აბსცესის ღრუ.
ოპერაციის შემდეგ მკურნალობა მიმდინარეობს ანტიბიოტიკებით ანტიბიოტიკოგრამის მიხედვით და სულფანილამიდამით, რომელიც შეჰყავთ კუნთში ან იღებენ ტაბლეტის სახით, ან ადგილობრივად აბსცესის ღრუში. გამოიყენებენ დეჰიდრატაციულ თერაპიას (ჩვენებების მიხედვით), აკეთებენ პლაზმის გადასხმას. ავადმყოფს მიხედავენ საგულდაგულოდ, მაღალკალორიული და ვიტამინიზირებული კვებით (საჭიროების დროს ხელოვნური კვება), აკვირდებიან კუჭის მოქმედებას და შარდის გამოყოფას. მიუხედავად იმისა, რომ ქირურგიული და კონსერვატიული მკურნალობა არის წარმატებული, სიკვდილიანობა თავის ტვინის ოტოგენური აბსცესის დროს არის შედარებით მაღალი არადროულად ჩატარებული დიაგნოსტიკის შედეგად.
თავის ტვინის აბსცესის პროფილაქტიკა გამოიხატება დროულად ჩატარებულ დიაგნოსტიკაში და ცხვირის და ყურის წიაღების ინფექციის, ასევე ქალა-ტვინის ტრავმების შედეგების მკურნალობაში.
გართულებები:
- კრუნჩხვები
- მენინგიტი
- ჰიდროცეფალია
- მუდმივი ნევროლოგიური დეფიციტები
- სიკვდილი
პროგნოზი:
- ადრეული დიაგნოსტიკა და მკურნალობა აუცილებელია კარგი შედეგისთვის.
- პროგნოზი მნიშვნელოვნად გაუმჯობესდა ნეიროვიზუალიზაციისა და ქირურგიული ტექნიკის მიღწევებით.
- თუმცა, ზოგიერთ შემთხვევაში ნევროლოგიური დეფიციტები შეიძლება შენარჩუნდეს.
იხილეთ აგრეთვე
- თავის ტვინის და პერიფერიული ნერვების ანატომია
- ჰიპოფიზის მიკროადენომა, მაკროადენომა და არაფუნქციონირებადი ადენომა (NFPAs), ჰიპერპროლაქტინემიის სინდრომი
- ცერებრალური და სპინალური არაქნოიდიტი
- შიდა ქალის წნევა და ჰიდროცეფალია
- თავის ტკივილი, შაკიკი
- თავის ტვინის ინფექციური დაავადებები:
- თავის ტვინის ნახევარსფეროები და ნათხემი აბსცესი
- თავის ტვინის სუბდურული აბსცესი
- თავის ტვინის ეპიდურალური აბსცესი
- ცხვირის ღრუს და მისი დამატებითი წიაღების ანთებითი დაავადებების შიდა ქალას გართულებები
- ყურის დაავადებების (ოტიტის) შიდა ქალას გართულებები
- ცხვირის ღრუს და წიაღების დაავადებების თვალბუდის გართულებები
- თავის ტვინის ჩირქოვანი ოტოგენური მენინგიტი
- ეოზინოფილური გრანულომა, ლანგერჰანსის უჯრედების ჰისტიოციტოზი, ენებერის ფისტულური სიმპტომი
- თავის ტვინის 3 პარკუჭის კოლოიდური კისტა
- პარკინსონის დაავადება, პარკინსონიზმი
- ქალა-ტვინის ტრავმა, თავის ტვინის შერყევა, ტრავმული შეშუპება, კეროვანი და დიფუზური ტრავმა
- სპონტანური კრანიალური ლიკვორეა
- თავის ტვინის ენცეფალოპათია

.jpg)
.jpg)
.jpg)
