თავის ტვინის არტერიოვენოზური მალფორმაციები (ავმ)
თავის ტვინის არტერიოვენოზური მალფორმაციების (ავმ) აგებულება
მემკვიდრეობითი ჰემორაგიული ტელანგიექტაზია (მჰტ) არის გენეტიკური დაავადება, რომელიც იწვევს სისხლძარღვების ჩახლართვას, რომლებიც ცნობილია როგორც არტერიოვენური მალფორმაციები (ავმ).
ავმ შეიძლება წარმოიქმნას კანის ქვეშ, სადაც ისინი ჩანს წითელი ლაქების სახით, რომლებსაც ტელანგიექტაზები ეწოდება. ისინი შეიძლება ასევე გვხვდებოდეს თავის ტვინში, ზურგის ტვინში და სხვადასხვა ორგანოებში. არტერიოვენური მალფორმაციები შეიძლება გასკდეს, რის შედეგადაც სისხლძარღვებიდან სისხლდენა ვითარდება მიმდებარე ქსოვილში.
მემკვიდრეობითი ჰემორაგიული ტელანგიექტაზია არის აუტოსომური დომინანტური დაავადება, რაც იმას ნიშნავს, რომ თუ თქვენს ერთ-ერთ მშობელს აქვს მჰტ, თქვენ გაქვთ მისი მემკვიდრეობის 50 პროცენტი. ეს დაავადება მსოფლიოში 1.4 მილიონზე მეტ ადამიანს აწუხებს და ხშირად არასწორად დიაგნოსტირდება მისი სხვადასხვა გამოვლინებების გამო.
არტერიოვენოზური მალფორმაციები (ავმ) შედგება შეცვლილი სისხლძარღვების ნაწილებისაგან, რომლებიც ახდენენ არტერიული და ვენოზური სისტემების პათოლოგიური შეერთებების ფორმირებას. სინამდვილეში საუბარია არტერიოვენოზურ ანასტომოზზე ანდა ავმ, რომელიც თავის მხრივ განვითარების ანომალიაა. არტერიოვენოზული მალფორმაციისათვის დამახასიათებელია დროთა განმავლობაში იმ სისხლძარღვთა გაფართოება და დაგრძელება, რომლებიც შეადგენენ არტერიასა და ვენას შორის ამ ანასტომოზს.
არტერიოვენოზური მალფორმაციების ზომები მერყეობს რამდენიმე მილიმეტრის დიამეტრის ლაქიდან (რომლებიც მდებარეობს თავის ტვინის ქერქში ან თავის ტვინის თეთრ ნივთიერებაში) კლაკნილი არხების უზარმაზარ მასამდე, რომლებიც ქმნიან არტერიოვენოზურ შუნტს. ტვინის არტერიასა და ვენას შორის ეს შუნტი შეიძლება იყოს საკმაოდ მნიშვნელოვანი გულის გამოყოფილი სისხლის გაფართოებისათვის. ტვინის ჰიპერტროფული და გაფართოებული არტერიული "მკვებავი" სისხლძარღვები აღწევენ დაზიანების ძირითად ზონამდე, ქრებიან თავის ტვინის ქერქის ქვეშ და იშლებიან თხელკედლიანი სისხლძარღვების ქსელად. შემდეგ ეს სისხლძარღვოვანი ქსელი ტვინის ვენებით უშუალოდ უერთდება დრენირებად არტერიოვენოზურ მალფორმაციებს. ისინი ხშირად ქმნიან გიგანტურ, გაფართოებულ, პულსირებად არხებს, რომლებსაც გამოაქვთ არტერიულ სისხლი.
არტერიოვენოზური მალფორმაციების წნულის წარმომქმნელი სისხლძარღვები, რომლებიც არტერიებსა და ვენებს შორისაა განლაგებული, როგორც წესი, პათოლოგიურად შთხელებულია და მათ არა აქვთ არტერიებისა და ვენების ნორმალური სტრუქტურა.
ავმ თავის ტვინის, ტვინის ღეროსა და ზურგის ტვინის ყველა ნაწილში შეიძლება შეგვხვდეს, მაგრამ მათგან ყველაზე მსხვილები უფრო ხშირად ნახევარსფეროს უკანა ნაწილებშია განლაგებული სოლისებრი დაზიანებების ფორმით, რომლებიც ვრცელდებიან ქერქიდან პარკუჭოვანი სისტემისაკენ.
არტერიოვენოზური მალფორმაციები კაცებს უფრო ხშირად უვლინდებათ, ვიდრე ქალებს (2:1 შეფარდებით). ისინი შეიძლება გამოუვლინდეთ ოჯახის რამდენიმე წევრს ერთსა და იმავე ან სხვადასხვა თაობაში. მიუხედავად იმისა, რომ ეს სისხლძარღვოვანი ანომალია დაბადებიდან არსებობს, პაციენტს ჩივილები შეიძლება დაეწყოს 10-30 წლის ასაკში, ხანდახან 50 წლის შემდეგაც კი.
თავის ტვინის არტერიოვენოზური მალფორმაციების (ავმ) დიაგნოსტიკა და სიმპტომები
სხვა თავის ტვინის სისხლძარღვოვან მალფორმაციებთან შედარებით არტერიოვენოზური მალფორმაციების სიმპტომები მეტად გავრცელებულია. შესაძლებელია შემდეგი მისი კლინიკური გამოვლინებები:
- შემთხვევითი გამოვლინება ასიმპტომურ პაციენტთა შორის - 15%
- ეპილეპტიკური გულყრები - 20%
- თავის ტკივილი
- თავის ტვინის იშემიის ეპიზოდები სისხლის მიმოქცევის გადანაწილებას მეზობლად მდებარე უბნიდან
- სისხლჩაქცევები (პარენქიმატოზური, სუბარაქნოიდური, პარკუჭის სივრცეში) - 65%, ხელმეორე გასკდომის შეადგენს - 2-3% წელიწადში
ავმ ძირითად კლინიკურ გამოვლინებად ითვლება თავის ტკივილი, ეპილეპტიკური გულყრები, სისხლძარღვთა გასკდომისა და იშემიის სიმპტომები. თავის ტკივილმა შეიძლება მოიცვას ქალას ნახევარი (ჰემიკრანია). ის შეიძლება იყოს პულსირებადი ან დიფუზიური. ამ თავის ტკივილებს შეუძლიათ შაკიკის იმიტირება. ხანდახან თავის ტკივილი ერწყმის ხელისა და ფეხის კუნთების დამბლას ერთ მხარეზე (ჰემიპლეგია). ის გვაგონებს ჰემიპლეგიურ შაკიკს.
ჩნდება ასევე ფოკალური ეპილეპტიკური გულყრები, რომლებიც ატარებენ გენერალიზებულ ხასიათს. ასეთი ეპილეპტიკური გულყრები აღენიშნება არტერიოვენოზური მალფორმაციების მქონე ავადმყოფთა დაახლოებით 30%–ს და მათი მოხსნა, როგორც წესი, შეუძლია კრუნჩხვის საწინააღმდეგო პრეპარატებს (ანტიკონვულსანტებს).
ავადმყოფთა 50%–ს არტერიოვენოზური მალფორმაციები უვლინდება ტვინშიდა სისხლჩაქცევით. სისხლჩაქცევა ხშირად არის ტვინშიდა და არა ქვეგარსოვანი (სუბარაქნოიდული). ამ დროს ჩაქცეული სისხლი ჩვეულებრივ არ გროვდება ბაზალურ ცისტერნაში და ამიტომ ავადმყოფს იშვიათად უვლინდება თავის ტვინის ცისტერნებში მდებარე არტერიის სიმპტომატური სპაზმი (ცერებრალური ვაზოსპაზმი).
თავის ტვინის ავმ ხელმეორე გასკდომის საშიშროება პირველ სამ კვირას (როგორც ეს ანევრიზმების დროს ხდება) იმდენად დაბალია, რომ არაა აუცილებელი სისხლდენის ალბათობის დამაქვეითებელი მედიკამენტების (ანტიფიბრინოლიტური პრეპარატების) გამოყენება. სისხლჩაქცევა შეიძლება ფართო იყოს და გამოიწვიოს ავადმყოფის მოულოდნელი სიკვდილი. მაგრამ თუ ჰემატომის ზომა პატარაა ( 1 სანტიმეტრამდე დიამეტრის), მაშინ სისხლჩაქცევას ახლავს სუსტად გამოხატული კეროვანი სიმპტომები. ხანდახან ავადმყოფს საერთოდ არ აღენიშნება ნევროლოგიური დეფიციტი.
ჰემორაგიულ მასას ნებისმიერ შემთხვევაში შეუძლია მთლიანად შენიღბოს არტერიოვენოზური მალფორმაცია ისე, რომ მისი აღმოჩენა ახ ხერხდება პაციენტისათვის სასწრაფო ანგიოგრაფიის ჩატარებისას. ამიტომ, როცა არტერიოვენოზურ მალფორმაციაზე ეჭვობენ, სასურველია ანგიოგრაფიის პროცედურების ჩატარება გადაიდოს ჰემატომის სრულ გაწოვამდე, ანუ 2–4 თვით.
იშვიათად ავმ იმდენად მსხვილია, რომ იწვევს სისხლის მიმოქცევის გადანაწილებას ტვინის მეზობლად მდებარე ნორმალური უბნიდან (“მოპარვა”), რასაც მიყვება გვერდით მდებარე თვის ტვინის უბნების იშემია. ეს მოვლენა უფრო ხშირად აღინიშნება თავის ტვინის შუა არტერიის - უკანა არტერიისა და თავის ტვინის შუა არტერიის - წინა არტერიის აუზების მსხვილი არტერიოვენოზური მალფორმაციების შემთხვევაში, რომლებიც გავრცელებულია ტვინის ნახევარსფეროების ქერქის ზედაპირიდან პარკუჭოვან სისტემამდე.
არტერიოვენოზურ მალფორმაციაში გალენის ვენის ჩათრევის შემთხვევაში პაციენტს შეიძლება განუვითარდეს ჰიდროცეფალია.
თავის ტვინის შიგნითა საძილე – შუა არტერიის აუზების მსხვილი არტერიოვენოზური მალფორმაციების დროს ხშირად აღინიშნება სისტოლური და დიასტოლური ხმაური, რომელსაც ექიმი ისმენს ავადმყოფის თვლაბუდის ზემოთ, შუბლისა და კისრის არეში, სადაც შეიძლება იგრძნობოდეს საძილე არტერიის მფეთქავი პულსაცია.
თავის ტვინის სისხლძარღვების მალფორმაციების გასკდომის მომენტში არტერიული წნევა ჩვეულებრივ ნორმალურია, რაც მიგვითითებს არტერიოვენოზური მალფორმაციის, ტვინის სიმსივნეში სისხლჩაქცევის ანდა ტომრისებრი ანევრიზმის გასკდომაზე. არტერიოვენოზური მალფორმაციის გასკდომის დასაწყისში თავის ტკივილი არაა ისეთი გამოხატული და გავრცელებული სიმპტომი, როგორიც თავის ტვინის არტერიის გამსკდარი ტომრისებრი ანევრიზმის დროს. მეორე მხრივ, ქალაშიდა სისხლჩაქცევის ნებისმიერი ფორმის დროს ხშირად აღინიშნება ღებინება.
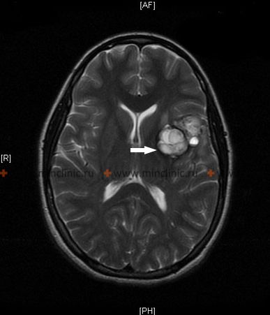
არტერიოვენოზური მალფორმაციების ვიზუალიზაციისათვის, მათი მდებარეობისა და ზომების განსასაზღვრად გამოიყენება თავის ტვინის სისხლძარღვების მაგნიტურ–რეზონანსული და კომპიუტერული ტომოგრაფიები (ანგიოგრაფიის რეჟიმი) კონტრასტული ნივთიერებების გამოყენებით. მაგნიტურ–რეზონანსული და კომპიუტერული ტომოგრაფიები (ანგიოგრაფია) შესაძლებლობას იძლევა გამოვლინდეს არტერიოვენოზური მალფორმაციების არხები მათ გასკდომამდე.
თავის ტვინის არტერიოვენოზური მალფორმაციების (ავმ) მკურნალობა
მიუხედავად იმისა, რომ თავის ტვინის ავმ ბოლოს და ბოლოს სკდება, ქირურგიულ ჩარევაზე საბოლოო გადაწყვეტილებას ჩვეულებრივ პირველ გასკდომამდე გადადებენ ხოლმე. ხელმეორე გასკდომის საშიშროება შეადგენს წელიწადში 3 %–ს.
არტერიოვენოზური მალფორმაციების მოკვეთის ოპერაციას შეიძლება ტექნიკური გართულებები ახლდეს. ისეც ხდება, რომ ოპერაციის ჩატარება შეუძლებელია მალფორმაციის თავის ტვინის მნიშვნელოვან სტრუქტურებთან მიმართებით რთული ლოკალიზაციისა და ზომების შემთხვევაში. ამ დროს მკურნალობის სხვა მეთოდები გამოიყენება, მათ შორის ხელოვნური შიდასისხლძარღვოვანი ემბოლიზაცია და სხივური თერაპია. სხივური თერაპია მოიცავს:
- თანამედროვე მეთოდი - პროტონული (იონური) თერაპია (Proton Therapy)
- შედარებით მოძველებული მეთოდები:
- უფრო ზუსტი - გამა-დანა (Gamma Knife) - მიმართული ფოტონური კონის ცდომილება არ აღემატება 0,3 მმ-ს
- ნაკლებად ზუსტი - კიბერ-დანა (CyberKnife) - მიმართული ფოტონური კონის ცდომილება არ აღემატება 1 მმ-ს
იხილეთ აგრეთვე
- თავბრუ, ყურების დაგუბვა (სისავსის შეგრძნება) და შუილი (ტინიტუსი)
- სომატოფორმული ავტონომიური (ვეგეტატიური) დისფუნქცია
- ვერტებრო-ბაზილარული არტერიული სინდრომი (მწვავე, ქრონიკული)
- თავის ტვინის ქრონიკული იშემია, ინსულტი
- თავის ტვინის იშემიური დაავადება:
- ათეროსკლეროზული თრომბოზი
- საძილე არტერიის და მისი ტოტების ათეროსკლეროზი თრომბოზით
- კაროტიდული ბიფურკაციის უსიმპტომო სტენოზი თან დართული შუილით
- ვერტებრო-ბაზილარული სისტემისა და ტვინის უკანა არტერიის აუზის ათეროთრობოზული დაზიანება
- ტვინის უკანა არტერიის ათეროსკლეროზი თან დართული თრომბოზით
- ხერხემლის და ნათხემის ქვემო უკანა არტერიის ათეროსკლეროზი თან დართული თრომბოზით
- ძირითადი არტერიის ათეროსკლეროზი თან დართული თრომბოზით
- ლაკუნური დაავადება
- სხვა მიზეზით გამოწვეული თავის ტვინის ინფარქტი
- ცერებრული ემბოლიები
- სპონტანური სუბარაქნოიდული და ინტრაცერებრული (ტვინშიდა) სისხლჩაქცევები:
- თავის ტვინის არტერიო-ვენოზური მალფორმაციები (ავმ)
- არტერიული ჰიპერტენზია თან დართული ინტრაცერებრული სისხლჩაქცევებით
- თავის ტვინის არტერიების ანთებითი დაავადებები (არტერიიტები)
- თავის ტვინის არტერიების გიგანტური ანევრიზმები
- სხვა მიზეზით გამოწვეული ინტრაცერებრული სისხლჩაქცევები
- თავის ტვინის ლობარული სისხლჩაქცევები
- თავის ტვინის არტერიის ტომრისებრი ანევრიზმა და სუბარაქნოიდული სისხლჩაქცევა
- თავის ტვინის არტერიების მიკოზური ანევრიზმები
- თავის ტვინის არტერიის ანევრიზმის განმეორებითი გასკდომა
- შემაერთებელი (ღია) ჰიდროცეფალია ტვინშიდა სისხლჩაქცევის შემდეგ ანევრიზმის გასკდომის დროს
- თავის ტვინის არტერიების სპაზმი, ცერებრული ვაზოსპაზმი
- თავის ტვინის სისხლძარღვთა დაავადებები — ინსულტი, გარდამავალი იშემიური შეტევეა (მიკროინსულტი):
- თავის ტვინის ტრანზიტული იშემიური შეტევა (მიკროინსულტი)
- სიგმოიდური სინუსის ფლებიტი (ტრომბოფლებიტი) და სეპტიკოპიემია





