თავის ტვინის ლობარული სისხლჩაქცევა
თავის ტვინის ლობარული სისხლჩაქცევის მიზეზები
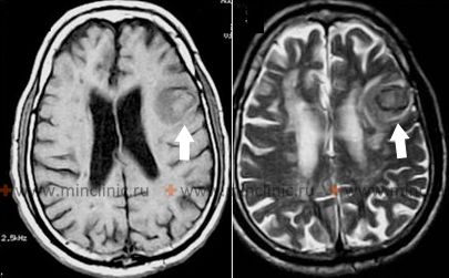
როგორც კი პოპულაციაში უმჯობესდება ჰიპერტენზიის კონტროლი, იზრდება ინტრაცერებრული სისხლჩაქცევების შეფარდებითი პროპორცია, რომლებიც ხდება ტიპიური ღრმა ჰიპერტენზიული ლოკაციების (ბაზალური განგლიები, თალამუსი) მიღმა [1]. ეს სისხლჩაქცევები, რომლებსაც ხშირად უწოდებენ "ლობარულ სისხლჩაქცევებს", ტვინის ვიზუალიზაციაზე (მრტ ან კტ) ტიპიურად ჩნდებიან როგორც სისხლის ოვალური ან მომრგვალებული დაგროვება ძირითადად ცერებრალური წილების სუბკორტიკალურ თეთრ ნივთიერებაში [1, 2]. მიუხედავად იმისა, რომ ქრონიკული ჰიპერტენზია შეიძლება იყოს ხელშემწყობი რისკ-ფაქტორი, განსაკუთრებით ცერებრალური ამილოიდური ანგიოპათიისთვის (CAA), ის ხშირად *არ არის* პირველადი ძირითადი მიზეზი და ლობარული სისხლჩაქცევის მქონე ბევრ პაციენტს არ აქვს მნიშვნელოვანი ჰიპერტენზიის ისტორია[1, 3]. შემთხვევების მნიშვნელოვან ნაწილში იდენტიფიცირებულია სპეციფიკური ძირითადი სტრუქტურული დაზიანებები ან მდგომარეობები, მათ შორის [1, 2]:
- ცერებრალური ამილოიდური ანგიოპათია (CAA): ძალიან გავრცელებული მიზეზია, განსაკუთრებით ხანდაზმულებში (>60-65 წელი). იგი გულისხმობს ამილოიდური ცილის დეპონირებას ქერქის და ლეპტომენინგების მცირე და საშუალო ზომის არტერიების კედლებში, რაც მათ გასკდომისკენ მიდრეკილს ხდის [1, 3].
- სტრუქტურული სისხლძარღვოვანი დაზიანებები: როგორიცაა არტერიოვენოზური მალფორმაციები (AVMs) ან კავერნოზული მალფორმაციები (კავერნომები). ეს უფრო ხშირი მიზეზებია ახალგაზრდა პაციენტებში [1, 4].
- კოაგულოპათია ან ანტიკოაგულანტების გამოყენება: სისხლდენა დაკავშირებული მემკვიდრეობით ან შეძენილ შედედების დარღვევებთან, ან თერაპიულ ანტიკოაგულაციასთან (მაგ., ვარფარინით ან პირდაპირი ორალური ანტიკოაგულანტებით) [1, 5].
- სისხლჩაქცევა ტვინის სიმსივნეებში: სისხლდენა, რომელიც ხდება პირველად ტვინის სიმსივნეებში ან, უფრო ხშირად, მეტასტაზურ დაზიანებებში (გარკვეული მეტასტაზები, როგორიცაა მელანომა, თირკმლის უჯრედოვანი კარცინომა, ქორიოკარცინომა, განსაკუთრებით მიდრეკილია სისხლდენისკენ)[1, 6].
- გამსკდარი საკულარული ანევრიზმები: მიუხედავად იმისა, რომ ტიპიურად იწვევენ სუბარაქნოიდულ სისხლჩაქცევას, ანევრიზმები (განსაკუთრებით ისეთები, რომლებიც მიმართულია ტვინის ქსოვილისკენ) ზოგჯერ შეიძლება პირველადად გასკდეს ტვინის პარენქიმაში, რაც იწვევს ლობარულ სისხლჩაქცევას, თუმცა ეს ნაკლებად ხშირია ზემოთ ჩამოთვლილ სხვა მიზეზებთან შედარებით [1].
ხშირად, ლობარული ინტრაცერებრული სისხლჩაქცევის სპეციფიკური გამომწვევი მიზეზი რჩება დაუდგენელი ყოვლისმომცველი გამოკვლევის შემდეგაც კი, ცერებრალური ანგიოგრაფიის ჩათვლით (როგორიცაა ციფრული სუბტრაქციული ანგიოგრაფია - DSA), განსაკუთრებით თუ საწყისი ვიზუალიზაცია არ მიუთითებს აშკარა სტრუქტურულ დაზიანებაზე [1].
ასეთ შემთხვევებში, განსაკუთრებით 60-65 წელზე უფროსი ასაკის პირებში მკაცრად ლობარული სისხლჩაქცევებით (ხშირად მოიცავს სუბკორტიკალურ თეთრ ნივთიერებას), ცერებრალური ამილოიდური ანგიოპათია (CAA) არის ყველაზე სავარაუდო ძირითადი ეტიოლოგია [1, 3]. მიუხედავად იმისა, რომ საბოლოო დიაგნოზი მოითხოვს პათოლოგიურ გამოკვლევას, რომელიც ავლენს ამილოიდის დეპონირებას (რომელიც პოლარიზებული სინათლის ქვეშ იღებება კონგო წითელი საღებავით) კორტიკალურ და ლეპტომენინგეალურ სისხლძარღვებში სიკვდილის შემდეგ, სავარაუდო კლინიკური დიაგნოზი ხშირად ისმება დამახასიათებელი კლინიკური და ვიზუალიზაციის ნიშნების საფუძველზე (მაგ., ბოსტონის კრიტერიუმები[7]) [3, 7]. CAA-ში ჩართული ბეტა-ამილოიდური ცილა სპეციფიკურად გროვდება ცერებრალურ სისხლძარღვებში და განსხვავდება სხვა ორგანოებზე მოქმედი სისტემური ამილოიდოზის დროს ნანახი ცილის დეპონირებისგან [3].
CAA არის სპონტანური, ხშირად განმეორებადი, ლობარული სისხლჩაქცევის მთავარი მიზეზი ხანდაზმულებში [3]. CAA-ს მქონე პაციენტებს ასევე შეიძლება აღენიშნებოდეთ სხვა ვიზუალიზაციის მიგნებები, როგორიცაა ცერებრალური მიკროსისხლჩაქცევები (უპირატესად ლობარულ ლოკაციებზე), კორტიკალური ზედაპირული სიდეროზი და თეთრი ნივთიერების ჰიპერინტენსივობები მრტ-ზე [2, 3].
| ლობარული ICH-ის მიზეზი | ტიპური ასაკი / მახასიათებლები | ძირითადი დიაგნოსტიკური ნიშანი |
|---|---|---|
| თავის ტვინის ამილოიდური ანგიოპათია (CAA) | ხანდაზმულები (>60–65 წელი), ხშირად რეციდივული | MRI: ლობარული მიკროსისხლჩაქცევები, კორტიკალური სიდეროზი |
| AVM / კავერნომა | ახალგაზრდა ზრდასრულები (<50 წელი) | DSA / MRI: სისხლძარღვოვანი ნიდუსი ან "პოპკორნისებრი" დაზიანება |
| ანტიკოაგულანტი / კოაგულოპათია | ნებისმიერი ასაკი, ვარფარინის/DOAC-ის მიღება ან სისხლის დაავადება | პათოლოგიური INR, მედიკამენტური ანამნეზი, სისტემური სისხლდენა |
| სისხლჩაქცევა სიმსივნეში | ნებისმიერი ასაკი, ცნობილი კიბო ან პროგრესირებადი სიმპტომები | MRI კონტრასტით: კონტრასტირებადი მოცულობითი წარმონაქმნი სისხლჩაქცევით |
თავის ტვინის ლობარული სისხლჩაქცევის სიმპტომები და დიაგნოსტიკა
მიუხედავად იმისა, რომ ბევრი ლობარული სისხლჩაქცევა შედარებით მცირეა და შეუძლია გამოიწვიოს კეროვანი ნევროლოგიური დეფიციტები, რომლებმაც შეიძლება მიბაძონ კონკრეტულ ტვინის რეგიონზე მოქმედი იშემიური ინსულტის სიმპტომებს, უფრო დიდი სისხლჩაქცევებიც ხშირად ხდება [1]. ეს უფრო მასიური სისხლდენები ხშირად იწვევს ინტრაკრანიალური წნევის მნიშვნელოვან მატებას, რის შედეგადაც ხდება ცნობიერების დარღვევა (სტუპორი ან კომა) და ვრცელი ნევროლოგიური დეფიციტები, რომლებიც დაკავშირებულია ჩართულ ცერებრალურ წილ(ებ)თან [1].
თავის ტკივილი გავრცელებული სიმპტომია ლობარული სისხლჩაქცევის დაწყებისას, ხშირად ლოკალიზებულია სისხლდენის ზემოთ არსებულ ზოგად არეალში (მაგ., შუბლის ტკივილი შუბლის წილის სისხლჩაქცევისას, საფეთქლის ტკივილი საფეთქლის სისხლჩაქცევისას) [1]. თუმცა, ტკივილი ზოგჯერ შეიძლება იყოს დიფუზური ან ნაკლებად მკაფიოდ ლოკალიზებული [1].
კეფის რიგიდულობა (კისრის დაჭიმულობა, რაც მიუთითებს მენინგეალურ გაღიზიანებაზე) ან კრუნჩხვები შეიძლება მოხდეს ლობარული სისხლჩაქცევის დაწყებისას [1]. ღებინება და შეცვლილი ცნობიერების დონე (მერყეობს ძილიანობიდან კომამდე) ასევე ხშირად შეინიშნება, განსაკუთრებით უფრო დიდი სისხლდენის დროს [1]. ნევროლოგიური დეფიციტი ტიპიურად პროგრესულად ვითარდება წუთებიდან საათების განმავლობაში ჰემატომის გაფართოებასთან ერთად, რაც ზოგჯერ დაგეხმარებათ მის კლინიკურად გარჩევაში ჰიპერმწვავე, დაწყებისთანავე მაქსიმალური პრეზენტაციისგან, რომელიც ხშირად ჩანს ემბოლიური იშემიური ინსულტის დროს, თუმცა ეს განსხვავება აბსოლუტური არ არის [1].
სპეციფიკური კლინიკური ნევროლოგიური სინდრომი, რომელიც წარმოიქმნება ლობარული სისხლჩაქცევის შედეგად, ძირითადად დამოკიდებულია ჰემატომის ლოკაციასა და ზომაზე[1]:
- კეფის წილის სისხლჩაქცევა: ტიპიურად ვლინდება კონტრალატერალური ჰომონიმური ჰემიანოფსიით (მხედველობის ველის დაკარგვა სისხლჩაქცევის საპირისპირო მხარეს). უფრო დიდმა სისხლჩაქცევებმა შეიძლება გამოიწვიოს დაბნეულობა ან შეცვლილი ფსიქიკური სტატუსი.
- საფეთქლის წილის სისხლჩაქცევა: თუ ჩართულია დომინანტური საფეთქლის წილი (ჩვეულებრივ მარცხენა), სიმპტომები ხშირად მოიცავს რეცეპტიულ აფაზიას (ვერნიკეს აფაზია - ენის გაგების სირთულე). არადომინანტური საფეთქლის წილის სისხლჩაქცევებმა შეიძლება გამოიწვიოს დაბნეულობა, აგიტაცია ან კონტრალატერალური ზედა კვადრანტანოპია. კრუნჩხვები შედარებით ხშირია საფეთქლის წილის დაზიანებების დროს.
- თხემის წილის სისხლჩაქცევა: ხშირად იწვევს კონტრალატერალურ სენსორულ დაკარგვას (ჰემიანესთეზია), კონტრალატერალური მხარის უგულებელყოფას (თუ არადომინანტურ ნახევარსფეროშია), აპრაქსიას ან სირთულეებს სივრცით აღქმაში. ასევე შეიძლება მოხდეს კონტრალატერალური ქვედა კვადრანტანოპია.
- შუბლის წილის სისხლჩაქცევა: ხშირად იწვევს კონტრალატერალურ ჰემიპარეზს (სისუსტეს), განსაკუთრებით აზიანებს ფეხს უფრო მეტად ვიდრე მკლავს, თუ განლაგებულია ზემოთ/მედიალურად, ან მკლავს/სახეს უფრო მეტად, თუ განლაგებულია ლატერალურად. სხვა პოტენციური სიმპტომები მოიცავს ექსპრესიულ აფაზიას (ბროკას აფაზია, თუ დომინანტურ შუბლის წილშია), აღმასრულებელ დისფუნქციას (პრობლემები დაგეგმვასთან, განსჯასთან), აბულიას (ინიციატივის ნაკლებობა) ან შარდის შეუკავებლობას.
უფრო დიდმა სისხლჩაქცევებმა ან მათმა, რომლებიც ვრცელდება მიმდებარე წილებში ან იწვევს მნიშვნელოვან შეშუპებას და მასის ეფექტს, ბუნებრივია გამოიწვევს უფრო ფართოდ გავრცელებულ და მძიმე ნევროლოგიურ დეფიციტებს, ხშირად ცნობიერების დარღვევის ჩათვლით [1].
ცერებრალური ანგიოგრაფია ხშირად ნაჩვენებია ლობარული სისხლჩაქცევის მქონე პაციენტებში, რათა გამოიკვლიოს ძირითადი სისხლძარღვოვანი მიზეზი, როგორიცაა არტერიოვენოზური მალფორმაცია (AVM) ან ანევრიზმა, განსაკუთრებით ახალგაზრდა პაციენტებში ან მათში, ვისაც არ აქვს აშკარა რისკ-ფაქტორები, როგორიცაა ხანდაზმული ასაკი და ჰიპერტენზია (რაც მიუთითებს ცერებრალურ ამილოიდურ ანგიოპათიაზე - CAA)[1, 5].
მიუხედავად იმისა, რომ საწყისი ანგიოგრაფია (ხშირად კტ ანგიოგრაფია - CTA, ან ზოგჯერ ციფრული სუბტრაქციული ანგიოგრაფია - DSA) შეიძლება შესრულდეს მწვავედ, მცირე სისხლძარღვოვანი მალფორმაციები ზოგჯერ შეიძლება დაიფაროს ჰემატომით და ასოცირებული მასის ეფექტით[1, 5]. ამიტომ, თუ საწყისი კვლევა უარყოფითია, მაგრამ ძირითადი დაზიანების კლინიკური ეჭვი რჩება მაღალი (მაგ., პაციენტის ასაკის ან სისხლჩაქცევის მახასიათებლების საფუძველზე), ხშირად რეკომენდებულია განმეორებითი ანგიოგრაფია (ტიპიურად DSA, ოქროს სტანდარტი დახვეწილი მალფორმაციების გამოსავლენად)[1, 5]. ეს დაგვიანებული კვლევა ჩვეულებრივ ტარდება რამდენიმე კვირიდან თვეების შემდეგ (მაგ., 2-4 თვე) მას შემდეგ, რაც მნიშვნელოვანი ჰემატომის რეზოლუცია იძლევა სისხლძარღვების უკეთესი ვიზუალიზაციის საშუალებას [1].
თავის ტვინის ლობარული სისხლჩაქცევის დიფერენციალური დიაგნოზი[1, 2, 5]
| მიზეზი | ტიპიური მახასიათებლები | სადიაგნოსტიკო მინიშნებები / კვლევები |
|---|---|---|
| ცერებრალური ამილოიდური ანგიოპათია (CAA) | ყველაზე გავრცელებული მიზეზი ხანდაზმულებში (>60-65). მკაცრად ლობარული მდებარეობა (ხშირად სუბკორტიკალური), ხშირად მრავლობითი ან განმეორებადი სისხლდენა. შეიძლება ჰქონდეს ასოცირებული კოგნიტური დაქვეითება. | მრტ (GRE/SWI): ლობარული ICH, ხშირად მრავლობითი ლობარული მიკროსისხლჩაქცევები, კორტიკალური ზედაპირული სიდეროზი. აკმაყოფილებს ბოსტონის კრიტერიუმებს კლინიკურად. ჰიპერტენზია ნაკლებად ხშირია. |
| არტერიოვენოზური მალფორმაცია (AVM) | უფრო ხშირი მიზეზი ახალგაზრდა მოზრდილებში (<40-50). სისხლჩაქცევა ხშირად პარენქიმულია +/- IVH/SAH. შეიძლება ჰქონდეს კრუნჩხვების ან თავის ტკივილის ისტორია. | CTA/MRA/DSA: ავლენს ბუდეს (nidus), მკვებავ არტერიებს, სადრენაჟო ვენებს. მრტ-მ შეიძლება აჩვენოს ნაკადის სიცარიელე. |
| კავერნოზული მალფორმაცია (კავერნომა) | შეიძლება მოხდეს ნებისმიერ ასაკში. ხშირად მცირე სისხლდენა, შეიძლება იყოს განმეორებადი. შეიძლება გამოვლინდეს კრუნჩხვებით ან კეროვანი დეფიციტებით აშკარა სისხლჩაქცევის გარეშე. არსებობს ოჯახური ფორმები. | მრტ: დამახასიათებელი "პოპკორნის" დაზიანება შერეული სიგნალით, ჰემოსიდერინის რგოლით. ანგიოგრაფიულად ფარულია. |
| სისხლჩაქცევა სიმსივნეში (პირველადი ან მეტასტაზური) | სისხლდენა წინასწარ არსებულ მასაში. შეიძლება ჰქონდეს წინა პროგრესირებადი ნევროლოგიური სიმპტომები. გარკვეული სიმსივნის ტიპები განაპირობებენ მიდრეკილებას (მელანომა, RCC, ქორიო, GBM). | მრტ კონტრასტით: აჩვენებს ჰემატომას ასოცირებულ კონტრასტირებად სიმსივნურ მასასთან, ხშირად მნიშვნელოვანი მიმდებარე შეშუპებით. პირველადი კიბოს ისტორია (მეტასტაზებისთვის). |
| ანტიკოაგულანტებთან ასოცირებული ICH | ლობარული მდებარეობა შესაძლებელია (თუმცა ღრმაც ხშირია). ჰემატომა შეიძლება იყოს უფრო დიდი ან უფრო გაფართოვდეს. | ანტიკოაგულანტების გამოყენების ისტორია. მომატებული INR ან შესაბამისი წამლის ანალიზი. მოითხოვს შექცევადობას. |
| კოაგულოპათია / ჰემატოლოგიური დარღვევა | შეიძლება მოხდეს ყველგან, მათ შორის ლობარულად. შეიძლება იყოს მრავლობითი. ხშირად ასოცირებულია სისტემური სისხლდენის ნიშნებთან. | ანორმალური სისხლის ანალიზები/კოაგულაციის კვლევები. ძირითადი დარღვევის მტკიცებულება (ღვიძლის დაავადება, თრომბოციტოპენია, ლეიკემია). |
| გამსკდარი საკულარული ანევრიზმა | პირველადი ლობარული ICH-ის ნაკლებად გავრცელებული მიზეზი. ჩვეულებრივ იწვევს SAH-ს. შეუძლია გამოიწვიოს ლობარული სისხლდენა, თუ ანევრიზმა მიმართულია პარენქიმაში ან სკდება ლატერალურად. უეცარი ძლიერი თავის ტკივილი ტიპიურია. | კტ აჩვენებს SAH +/- ICH. CTA/DSA ავლენს ანევრიზმას. |
| ჰემორაგიული ტრანსფორმაცია იშემიური ინსულტიდან | სისხლდენა წინა ინფარქტის არეში. მოჰყვება იშემიური ინსულტის სიმპტომებს. | ვიზუალიზაცია აჩვენებს სისხლს დადგენილი ინფარქტის ტერიტორიაზე. |
| სეპტიური ემბოლია / მიკოზური ანევრიზმის გასკდომა | ასოცირებულია ინფექციურ ენდოკარდიტთან. ცხელება, ინფექციის ნიშნები. სისხლჩაქცევა შეიძლება მოხდეს სეპტიური ინფარქტიდან ან ინფიცირებული ანევრიზმის გასკდომიდან. | სისხლის კულტურები. ექოკარდიოგრამა. ანგიოგრაფიამ შეიძლება აჩვენოს მიკოზური ანევრიზმა(ები). |
| ვასკულიტი | იშვიათი მიზეზი. შეიძლება გამოიწვიოს სისხლჩაქცევა ან ინფარქტები. ხშირად სისტემური სიმპტომები. | ანთებითი მარკერები. ანგიოგრაფიამ შეიძლება აჩვენოს სისხლძარღვების უწესრიგობები. შეიძლება საჭირო გახდეს ბიოფსია. |
თავის ტვინის ლობარული სისხლჩაქცევის მკურნალობა
ლობარული ინტრაცერებრული სისხლჩაქცევის (ICH) ოპტიმალური მკურნალობის სტრატეგია დამოკიდებულია რამდენიმე ფაქტორზე, მათ შორის პაციენტის კლინიკურ მდგომარეობაზე (ცნობიერების დონე, ნევროლოგიური დეფიციტები), ჰემატომის ზომასა და ლოკაციაზე, მიმდინარე სისხლდენის ან გაფართოების მტკიცებულებაზე და ძირითად მიზეზზე, თუ იდენტიფიცირებულია (მაგ., AVM, სიმსივნე, ანტიკოაგულაცია)[1, 5].
ქირურგიული ჰემატომის ევაკუაციის როლი სპონტანური ლობარული ICH-სთვის რჩება სადავო და გადაწყვეტილებები ინდივიდუალიზებულია [5, 8]. პაციენტებისთვის, რომლებიც არიან გონებაზე ან მხოლოდ ოდნავ მძინარე მდგომარეობაში, მცირე ჰემატომებით, რომლებიც არ იწვევენ მნიშვნელოვან მასის ეფექტს, კონსერვატიული სამედიცინო მართვა ხშირად წარმოადგენს ძირითად მიდგომას [5]. კონსერვატიული მართვა ფოკუსირებულია კრიტიკული მოვლის პრინციპებზე, მათ შორის არტერიული წნევის მკაცრ კონტროლზე (სპეციფიკურ მიზნებზე, ხშირად სისტოლური <140 მმ ვწყ. სვ. ან <160 მმ ვწყ. სვ. მწვავედ), ნებისმიერი კოაგულოპათიის შექცევადობაზე (მაგ., ანტიკოაგულანტების შეჩერება და შემქცევი აგენტების ადმინისტრირება), მომატებული ინტრაკრანიალური წნევის (ICP) მონიტორინგსა და მართვაზე, თუ ის განვითარდება (ისეთი ზომების გამოყენებით, როგორიცაა თავის აწევა, ოსმოსური თერაპია მანიტოლით ან ჰიპერტონული ფიზიოლოგიური ხსნარით, და პოტენციურად ცერებროსპინალური სითხის დრენაჟი გარე პარკუჭოვანი დრენაჟის მეშვეობით), კრუნჩხვების პროფილაქტიკაზე შერჩეულ შემთხვევებში, DVT პროფილაქტიკაზე და ზოგად მხარდამჭერ ზრუნვაზე [5]. აღსანიშნავია, რომ კორტიკოსტეროიდები არ არის სასარგებლო და ზოგადად უკუნაჩვენებია მწვავე ICH-ის დროს [5].
ქირურგიული ჩარევა (ტიპიურად კრანიოტომია ჰემატომის ევაკუაციით) უფრო სავარაუდოა, რომ განიხილებოდეს პაციენტებისთვის უფრო დიდი ლობარული სისხლჩაქცევებით, რომლებიც იწვევენ მნიშვნელოვან მასის ეფექტს და ნევროლოგიურ გაუარესებას (მაგ., პროგრესირება სტუპორამდე ან კომამდე), განსაკუთრებით თუ ჰემატომა მდებარეობს ზედაპირულად და ითვლება ქირურგიულად ხელმისაწვდომად [5, 8]. გადაუდებელი ოპერაცია შეიძლება იყოს სიცოცხლის გადამრჩენი ტვინის თიაქრის კლინიკური ნიშნების მქონე შემთხვევებში, რომლებიც სწრაფად პროგრესირებს ან არ რეაგირებს ICP-ის საწყის სამედიცინო მართვაზე[5]. ოპერაციის მთავარი მიზანი ამ სიტუაციებში არის ტვინის დეკომპრესია სისხლის კოლტის მოცილებით, რითაც შემსუბუქდება მასის ეფექტი და პოტენციურად გაუმჯობესდება ნევროლოგიური შედეგი [8].
ლიტერატურა
- Ropper AH, Samuels MA, Klein JP, Prasad S. Adams and Victor's Principles of Neurology. 11th ed. McGraw Hill; 2019. Chapter 34: Cerebrovascular Diseases (Section on Intracerebral Hemorrhage).
- Grotta JC, Albers GW, Broderick JP, et al. Stroke: Pathophysiology, Diagnosis, and Management. 7th ed. Elsevier; 2021. Chapter on Intracerebral Hemorrhage.
- Charidimou A, Gang Q, Werring DJ. Sporadic cerebral amyloid angiopathy revisited: recent insights into pathophysiology and clinical spectrum. J Neurol Neurosurg Psychiatry. 2012 Feb;83(2):124-37.
- Greenberg MS. Handbook of Neurosurgery. 9th ed. Thieme; 2019. Chapter 38: Arteriovenous Malformations & Chapter 39: Cavernous Malformations.
- Hemphill JC 3rd, Greenberg SM, Anderson CS, et al; American Heart Association Stroke Council; Council on Cardiovascular and Stroke Nursing; Council on Clinical Cardiology. Guidelines for the Management of Spontaneous Intracerebral Hemorrhage: A Guideline for Healthcare Professionals From the American Heart Association/American Stroke Association. Stroke. 2015 Jul;46(7):2032-60.
- Greenberg MS. Handbook of Neurosurgery. 9th ed. Thieme; 2019. Chapter 20: Brain Tumors (sections on specific tumor types and complications like hemorrhage).
- Knudsen KA, Rosand J, Karluk D, Greenberg SM. Clinical diagnosis of cerebral amyloid angiopathy: validation of the Boston criteria. Neurology. 2001 Aug 14;57(3):560-2.
- Mendelow AD, Gregson BA, Rowan EN, Murray GD, Gholkar A, Mitchell PM; STICH II Investigators. Early surgery versus initial conservative treatment in patients with spontaneous supratentorial lobar intracerebral haematomas (STICH II): a randomised trial. Lancet. 2013 Aug 3;382(9890):397-408. (Example surgical trial for lobar ICH).
იხილეთ აგრეთვე
- იშემიური ინსულტი, თავის ტვინის იშემია
- ვერტებრობაზილარული უკმარისობა (VBI) თავბრუსხვევის სიმპტომით
- სომატოფორმული ავტონომიური დისფუნქცია
- თავბრუსხვევა, ყურის დაგუბება და ტინიტუსი
- თავის ტვინის იშემიური დაავადება:
- ათეროსკლეროზული თრომბოზი
- შიდა საძილე არტერიის ათეროთრომბოზული ოკლუზია
- კაროტიდული ბიფურკაციის უსიმპტომო სტენოზი შუილით
- ვერტებრობაზილარული და ტვინის უკანა არტერიების ათეროთრომბოზული ოკლუზია
- ტვინის უკანა არტერიის ათეროთრომბოზული ოკლუზია
- ხერხემლისა და უკანა ქვედა ნათხემის არტერიების (PICA) ათეროთრომბოზული ოკლუზია
- ძირითადი არტერიის ათეროთრომბოზული ოკლუზია
- მცირე სისხლძარღვების ინსულტი (ლაკუნური ინფარქტი)
- იშემიური ინსულტის (ცერებრალური ინფარქტის) სხვა მიზეზები
- ცერებრალური ემბოლია
- სპონტანური ინტრაკრანიალური (სუბარაქნოიდული) და ინტრაცერებრული სისხლჩაქცევა:
- თავის ტვინის არტერიოვენოზური მალფორმაციები
- ჰიპერტენზიული ინტრაცერებრული სისხლჩაქცევა
- ცერებრალური არტერიების ანთებითი დაავადებები (ცერებრალური არტერიიტი)
- გიგანტური ინტრაკრანიალური ანევრიზმები
- ინტრაცერებრული სისხლჩაქცევის სხვა მიზეზები
- ლობარული ინტრაცერებრული სისხლჩაქცევა
- საკულარული ანევრიზმა და სუბარაქნოიდული სისხლჩაქცევა
- მიკოზური ინტრაკრანიალური ანევრიზმები
- ცერებრალური არტერიის ანევრიზმის განმეორებითი გასკდომა
- კომუნიკაციური ჰიდროცეფალია ინტრაცერებრული სისხლჩაქცევის შემდეგ გამსკდარი ანევრიზმით
- ცერებრალური ვაზოსპაზმი
- ცერებროვასკულური დაავადებები - იშემიური ინსულტი, ტრანზიტული იშემიური შეტევა (TIA):
- ტრანზიტული იშემიური შეტევა (TIA)
- სიგმოიდური სინუსის ჩირქოვანი თრომბოფლებიტი თრომბოზით



