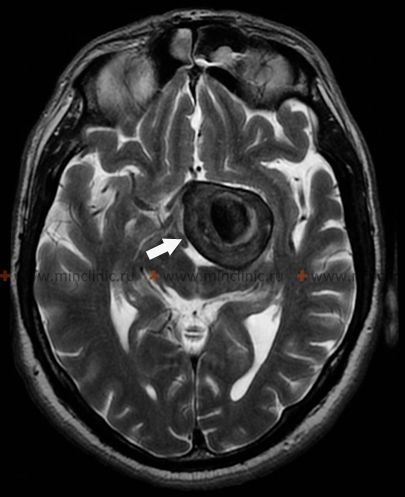
თავის ტვინის არტერიების გიგანტური ანევრიზმები
თავის ტვინის არტერიების გიგანტური ანევრიზმები
თავის ტვინის არტერიის ანევრიზმის სახეები:
- ტომრისებრი ანევრიზმა (შეიძლება იყოს გიგანტური)
- თითისტარისებრი ანევრიზმა (შეიძლება იყოს გიგანტური)
- განშრევებული ანევრიზმა
- მიკოზური ანევრიზმა
თავის ტვინის არტერიის ანევრიზმების კლასიფიკაცია ზომების მიხედვით:
- ≤6 მმ — პატარა ანევრიზმა
- 7-დან 12 მმ-მდე — საშუალო ანევრიზმა
- 13-დან 24 მმ-მდე — დიდი ანევრიზმა
- ≥25 მმ — გიგანტური ანევრიზმა
თავის ტვინის არტერიები გიგანტურ ანევრიზმებს (2,5 სმ-ზე მეტი დიამეტრით) იგივე ლოკალიზაცია აქვთ, რაც პატარა ანევრიზმებს. თავის ტვინის არტერიის გიგანტური ანევრიზმები ყველაზე ხშირად ლოკალიზებულია შიდა საძილე არტერიის ტვინშიდა ნაწილში, ტვინის შუა არტერიის ბიფურკაციაში და ძირითადი არტერიის მწვერვალზე. მიუხედავად იმისა, რომ მათი გახლეჩა შეუძლებელია, ასეთი ანევრიზმები ჩვეულებრივ იწვევენ ნევროლოგიურ სიმპტომებს ტვინზე ზეწოლის შედეგად ზომაში მომატების დროს.
გიგანტური ანევრიზმით კომპრესიის შემთხვევაში ტვინის შეშუპების განვითარება შეიძლება შეუქცევადი გახდეს და გამოიწვიოს ტვინის გამოხატული ზეწოლა და პაციენტის სიკვდილი. ასეთი შედეგი განსაკუთრებით მაშინაა მოსალოდნელი, თუ გიგანტური ანევრიზმა მდებარეობს ტვინის შუა არტერიის ბიფურკაციაში. ამ შემთხვევაში ნეიროქირურგიული ოპერაცია, რომელიც მიმართულია ტვინის დეკომპრესიისაკენ, მკურნალობის ერთადერთი ადეკვატური მეთოდია. მსგავსი ოპერაცია ტვინის არტერიის გიგანტური ანევრიზმის არსებობისას ტექნიკურად რთულად შესასრულებელია და ხშირად გართულებებს იწვევს ტვინის შეშუპების შემთხვევაში.
იხილეთ აგრეთვე
- თავბრუ, ყურების დაგუბვა (სისავსის შეგრძნება) და შუილი (ტინიტუსი)
- სომატოფორმული ავტონომიური (ვეგეტატიური) დისფუნქცია
- ვერტებრო-ბაზილარული არტერიული სინდრომი (მწვავე, ქრონიკული)
- თავის ტვინის ქრონიკული იშემია, ინსულტი
- თავის ტვინის იშემიური დაავადება:
- ათეროსკლეროზული თრომბოზი
- საძილე არტერიის და მისი ტოტების ათეროსკლეროზი თრომბოზით
- კაროტიდული ბიფურკაციის უსიმპტომო სტენოზი თან დართული შუილით
- ვერტებრო-ბაზილარული სისტემისა და ტვინის უკანა არტერიის აუზის ათეროთრობოზული დაზიანება
- ტვინის უკანა არტერიის ათეროსკლეროზი თან დართული თრომბოზით
- ხერხემლის და ნათხემის ქვემო უკანა არტერიის ათეროსკლეროზი თან დართული თრომბოზით
- ძირითადი არტერიის ათეროსკლეროზი თან დართული თრომბოზით
- ლაკუნური დაავადება
- სხვა მიზეზით გამოწვეული თავის ტვინის ინფარქტი
- ცერებრული ემბოლიები
- სპონტანური სუბარაქნოიდული და ინტრაცერებრული (ტვინშიდა) სისხლჩაქცევები:
- თავის ტვინის არტერიო-ვენოზური მალფორმაციები (ავმ)
- არტერიული ჰიპერტენზია თან დართული ინტრაცერებრული სისხლჩაქცევებით
- თავის ტვინის არტერიების ანთებითი დაავადებები (არტერიიტები)
- თავის ტვინის არტერიების გიგანტური ანევრიზმები
- სხვა მიზეზით გამოწვეული ინტრაცერებრული სისხლჩაქცევები
- თავის ტვინის ლობარული სისხლჩაქცევები
- თავის ტვინის არტერიის ტომრისებრი ანევრიზმა და სუბარაქნოიდული სისხლჩაქცევა
- თავის ტვინის არტერიების მიკოზური ანევრიზმები
- თავის ტვინის არტერიის ანევრიზმის განმეორებითი გასკდომა
- შემაერთებელი (ღია) ჰიდროცეფალია ტვინშიდა სისხლჩაქცევის შემდეგ ანევრიზმის გასკდომის დროს
- თავის ტვინის არტერიების სპაზმი, ცერებრული ვაზოსპაზმი
- თავის ტვინის სისხლძარღვთა დაავადებები — ინსულტი, გარდამავალი იშემიური შეტევეა (მიკროინსულტი):
- თავის ტვინის ტრანზიტული იშემიური შეტევა (მიკროინსულტი)
- სიგმოიდური სინუსის ფლებიტი (ტრომბოფლებიტი) და სეპტიკოპიემია


