Симптом боли в шее, затылке и руке, остеохондроз и грыжа диска шейного отдела позвоночника
Симптом боли в шее, затылке и руке, остеохондроз шейного отдела позвоночника
Большинство людей в своей жизни сталкивается с проблемой боли в шее. Чаще всего эти боли возникают в мышцах шеи. Шейные мышцы (трапециевидная, мышца поднимающая лопатку, лестничная) помимо того, что двигают шею и удерживают голову, ещё и учувствуют в работе при движении рук.
Широко распространена ситуация, когда появляются острые боли в шее чаще по утрам (после сна в неудобном положении) или при резком движении головой. Эти боли носят исключительно мышечный характер и могут иррадиировать ("отдавать" или "простреливать") в затылок, в лоб, в глаз, в ухо или плечо с тянущим ощущением или жжением в области лопатки (или под ней). При возникновении боли в мышцах шеи уже в процессе диагностики часто допускаются ошибки как самими пациентами так и их лечащими врачами.
Больной с острой мышечной болью в шее начинает сам или с помощью врача проходить аппаратную диагностику: рентгенографию шейного отдела позвоночника, компьютерную томографию (КТ) или магнитно-резонансную томографию (МРТ). В результате чего, помимо финансовых затрат, пациент получает так же необоснованно лучевую нагрузку на свой организм.
При обнаружении на полученных снимках и томограммах у такого пациента естественных возрастных изменений или связанных с его образом жизни особенностей в структурах позвоночника (остеохондроз шейного отдела позвоночника, выпрямление шейного лордоза, спондилёз, унковертебральный артроз, протрузия или грыжа межпозвонкового диска) идёт отклонение от понимания сути происходящего процесса. К сожалению, после этого в подавляющем числе случаев врачами пропускается и не проводится дальнейшая элементарная диагностика биомеханики шейного отдела позвоночника. Обнаруженные аппаратом изменения позвоночника становятся более значимыми в клиническом диагнозе, нежели клинические данные (тонус и сила мышц шеи, объём движений шейного отдела).
Локализация типичных мышечных болевых точек при травме (ушибе) или хронической перегрузке мышц и связок шеи.
При сдавлении нерва грыжей диска на шейном уровне позвоночника у больного возникает чувство боли и прострела током по руке, идущее от плеча до пальцев кисти.
При мышечной боли в шее (острая, жгучая или тянущая) пациенту достаточно просто пройти клинический осмотр у специалиста, после чего будет оказана адекватная лечебная помощь, направленная на снятие болевого симптома. После осмотра врача невропатолога или нейрохирурга в клинике пациент:
- получает точный клинический диагноз
- избегает необоснованных методов диагностики и сопутствующих им финансовых и временных затрат
- избегает необоснованной лучевой нагрузки
- получает адекватное лечение болевого симптома
- получает дальнейшие лечебные рекомендации по реабилитации после снятия болевого симптома
Боль в шее, в затылке и в руке может провоцировать травмированный или воспалённый межпозвонковый (фасеточный) сустав (при его артрозе). Шея может болеть так же после длительного пребывания в одном положении (сидячая работа, просмотр телевизора лёжа и т.д.), или после хлыстового механизма травмы шеи. Появлению симптома боли в шее способствует возростной остеохондроз или спондилёз шейного отдела позвоночника, напряжённые и перегруженные мышцы шеи и т.д.
При хлыстовом механизме травмы связок и мышц шеи (при резком кивке головы во время автомобильной аварии или столкновении при катании на коньках, роликах, лыжах или сноуборде) болит шея, затылок и кружится голова.
При корешковой боли в шее (шейная радикулопатия), нерв может испытывать компрессию от оболочек дугоотростчатого сустава, гипертрофированных связок позвоночного канала, смещённых позвонков, протрузии или грыжи диска. Шейная радикулопатия будет проявляться ощущением боли по типу прострела током в руке, лопатке, в затылочной области, в виске и т.д.
Симптом боли в шее при растяжении связок шейного отдела позвоночника сравним с нудной зубной болью. Когда болит шея при травме связок и мышц, пациент не может найти удобного положения для сна, с трудом поворачивает голову. Без специализированной помощи боли в шее, затылке или голове могут длиться несколько недель не ослабевая.
Мышечные и корешковые виды боли в шее обычно хорошо устраняются физиотерапевтическим лечением, вытяжением шейного отдела позвоночника (петлёй Глиссона, тракцией руками во время проведения сеансов мануальной терапии), медикаментозной терапией (противовоспалительные препараты, миорелаксанты и т.д.).
Боли в шее и затылке могут быть также вызваны спинальным эпидуритом, при быстром развитии которого у пациента возникает сдавление спинного мозга инфицированной эпидуральной жировой клетчаткой.
Дегенерация дисков и позвонков
Ежедневные нагрузки могут вызвать боль в шее. С возрастом наши позвонки и межпозвонковые диски изнашиваются, происходит их дегенерация. В результате этого некоторые испытывают хроническую или постоянную боль в шее. Это является частью естественного процесса старения.
У некоторых из нас дегенерация дисков и позвонков происходит быстрее, чем у других. Это может быть связано с видом работы, которую мы делаем, нашим образом жизни, позой и генетическим фактором. Когда мы становимся старше, высота межпозвонковых дисков снижается, это усиливает нагрузку и износ межпозвонковых суставов. Конечным результатом этого процесса может быть сужение позвоночного канала или повреждение нервов. В большинстве случаев боль, возникающая в результате дегенерации, может быть устранена без операции с помощью физиотерапии.
Неправильное положение во время сна
Положение во сне, количество используемых подушек и жёсткость матраса могут влиять на то, как вы себя чувствуете после пробуждения по утрам. Неправильное положение во сне является основной причиной появления боли в шее. Сон - это то, на что многие люди не обращают особого внимания, но он оказывает огромное влияние на возникновение боли в шее. Очень важно иметь хорошее положение во сне, а также хорошую кровать и подушки. Например, изношенная подушка будет поддерживать шею в наклонном положении, что может вызвать мышечное напряжение. Во многих случаях пациентам с болями в шее рекомендуется спать на боку, чтобы их шея при этом была в нейтральном положении. Обычно это помогает.
Плохая осанка и сутулость
Во многих случаях боль в шее является следствием плохой осанки при сидении или ходьбе. Также она может быть результатом постоянного использования смартфона, планшета и длительного сидения перед низко расположенным экраном компьютера. Это то, с чем мы все ежедневно сталкиваемся. И это касается в том числе врачей. Плохая осанка значительно влияет на возникновение заболеваний позвоночника и может усугубить любые уже имеющиеся до этого жалобы и симптомы. Пациенты с плохой осанкой испытывают тянущую боль в мышцах шеи и между лопаток. Чаще всего это будет ощущение жжения у основания шеи. Лучший способ борьбы с таким типом боли — это работа над улучшением осанки. Плохая осанка может быть причиной более серьезных нарушений, когда пациент начинает испытывает слабость в руках и ногах или онемение и покалывание в руках. Еще один симптом, который означает более серьезное нарушение, — это снижение ловкости рук.
Стресс и тревожность
Ежедневный стресс может привести к сокращению мышц плеч и шеи, и боль может возникнуть в результате их чрезмерного напряжения. Психологические факторы оказывают большое влияние на то, как мы воспринимаем боль. Стрессовые ситуации также заставляют нас больше концентрироваться на боли, что усиливает ее. Хотя это легче сказать, чем сделать, но управление стрессом чрезвычайно важно для облегчения боли в шее. Поэтому постарайтесь побороть стресс усилив свою физической активность. Все мы разные, но найти какую-то стратегию по преодолению стресса действительно важно.
Острая кривошея или тортиколлис
Тортиколлис — это состояние, при котором голова становится повернутой в одну сторону. Попытка выпрямить голову из этого положения сопровождается болью. Хотя причина кривошеи не всегда известна, врачи подозревают, что в большинстве случаев её вызывают незначительные растяжения связок или мышц шеи. Воздействие на шею холодной температуры в течение длительного периода времени также может быть причиной. Это мышечное напряжение вызывает боли, а также устанавливает голову в положение, когда нервные корешки натянуты и потенциально повреждены. Острая кривошея встречается у большой части населения.
Травма плечевого сплетения
Плечевое сплетение представляет собой совокупность нервов на шейном уровне, которые соединяют спинной мозг с руками. Если эти нервы будут повреждены, это может вызвать боль в шее. И наоборот, если травма шеи оказывает влияние на плечевое сплетение, боль может также возникнуть в руке. Травма плечевого сплетения проявляется множеством двигательных и чувствительных нарушений. Лёгкие повреждения плечевого сплетения, полученные в результате дорожно-транспортных происшествий и падений, могут быстро восстанавливаться. В большинстве случаев травма сплетения представляет собой растяжение и заживает сама собой. Однако в более тяжелых случаях травмы (с полным отрывом корешков) должна проводиться реконструктивная хирургия плечевого сплетения.
Хлыстовая травма шеи
При хлыстовой травме шеи голова резко смещается относительно туловища в переднезаднем направлении, а затем очень быстро возвращается назад. Во многих случаях восстановление после хлыстовой травмы шеи происходит самостоятельно. Резкий толчок может привести к деформации, которая вызывает повреждение мышц и связок шеи. С помощью манипуляций на шее поврежденные ткани можно восстановить. Тяжёлая хлыстовая травма может привести к перелому шейного отдела позвоночника или повреждению спинного мозга и нервов. Если после несчастного случая или спортивной травмы боль в шее продолжает усиливаться, рекомендуется обратиться за консультацией к специалисту по позвоночнику.
Шейная радикулопатия
Шейная радикулопатия ("защемление нерва") при поражении нервов шейного уровня спинного мозга, вызывает боль, распространяющуюся вниз по руке. Шейная радикулопатия — это поражение нервных корешков шейного отдела спинного мозга. Нервные корешки могут быть зажаты при прохождении вниз по позвоночному каналу или выходе из него наружу. Это может проявляться прострелом боли с онемением или слабостью руки. Расположение этого онемения на руке помогает врачу определить, какой нерв поражён.
Диагностика симптома боли в шее, затылке и руке (остеохондроза шейного отдела позвоночника)
Что делать когда болит шея (сзади или сбоку) и самостоятельное лечение этой боли в шее в виде растирок мазями, её прогревания и приём обезболивающих препаратов не помогают? Следует как можно раньше обратиться к врачу за неврологическим и ортопедическим осмотром в клинику. Только так можно поставить правильный диагноз и выявит истинную причину из-за которой болит шея.
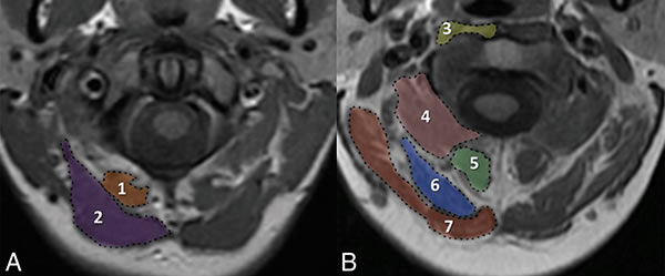
Магнитно-резонансная томография подзатылочных (субокципитальных) мышц. Мышцы на уровне передней дуги позвонка С1 (A): 1 - малая задняя прямая мышца головы, 2 - большая задняя прямая мышца головы. Мышцы на уровне середины зубовидного отростка С2 позвонка (B): 3 - длинная мышца шеи/головы, 4 - нижняя косая мышца головы, 5 - полуостистая мышца шеи, 6 - полуостистая мышца головы, 7 - ременная мышца головы.
На МРТ шейного отдела спинного мозга видна миелопатия и вызвавшая её грыжа диска С5-С6, сдавливающая спинной мозг спереди (указана стрелкой).
По результатам консультации врача, в случае необходимости, пациенту с симптомом боли в шее при шейном остеохондрозе могут быть назначены дополнительно следующие диагностические процедуры:
- РЭГ, УЗДГ сосудов шеи и головного мозга (при наличии головокружения, шума в ушах, шаткости при ходьбе)
- рентгенография шейного отдела позвоночника с функциональными пробами
- компьютерная томография (КТ) шейного отдела позвоночника
- магнитно-резонансная томография (МРТ) шейного отдела позвоночника
Остеохондроз шейного отдела позвоночника способен приводить к рефлекторному спазму сосуды шейного отдела — это позвоночные артерии (проходит в поперечных отростках шейных позвонков). В результате этого спазма позвоночных артерий возникают стойкие нарушения кровоснабжения (ишемия) задних отделов головного мозга с приступами головокружения, шума или звона в ушах и голове, шаткостью при ходьбе, онемение лица и языка и т.д.
Позвоночная артерия проходит в поперечных отростках шейных позвонков и при болях в шее на фоне шейного остеохондроза может рефлекторно спазмироваться за счёт боли и механического раздражения, вызывая головокружение и слабость.
У пациентов с остеохондрозом шейного отдела позвоночника часто болит шея сзади, а так же отмечаются головные боли в области затылка одновременно. Иногда эти боли в шее могут попутно отдавать (иррадиировать) в руку и доходить от плеча до кисти с онемением пальцев.
У пациента при шейном остеохондрозе с симптомом боли в шее (в положении лёжа во сне или сидя) обычно немеют мизинец и безымянные пальцы на кисти. Это онемение в руке и пальцах кисти (безымянный и мизинец) связанно с хроническим перенапряжением лестничных мышц. подобное состояние гипертонуса передней группы мышц шеи приводит к частичному сдавлению нервного шейного сплетения и проявляется парестезиями в руке и пальцах кисти.
Существуют и другие причины появления симптома боли в шее:
- травмы связок и мышц шеи — шейно-черепной синдром
- перелом тел и дужек позвонков шейного отдела позвоночника
- дегенеративные заболевания шейного отдела позвоночника — остеохондроз шейного отдела позвоночника, остеопороз тел позвонков, спондилоартроз межпозвонковых суставов, спондилёз
- опухоли шейных позвонков, спинного мозга и его оболочек
- инфекции на уровне шеи — миелит, эпидурит, воспаление и увеличение шейной группы лимфоузлов
- повреждения межпозвонкового диска шейного отдела позвоночника — грыжа диска, протрузия диска, дисцит
Строение шейного отдела позвоночника.
Дегенеративные болезни позвоночника (остеохондроз шейного отдела позвоночника, остеопороз шейных позвонков и остеоартроз межпозвонковых суставов) на уровне шеи происходят обычно из-за естественного старения позвоночника. Повторная травма шеи может ускорить эти процессы дегенерации при имеющемся остеохондрозе, спондилоартрозе и спондилёзе шейного отдела позвоночника.
Пациенты часто жалуются на боль в шее, онемение и покалывания вниз в руках до пальцев кистей (иногда усиливающихся лёжа на спине во время сна), треск, хруст или щелчки в шейном отделе при осуществлении движения (повороты, наклоны головы) в нём.
Рентгенография шейного отдела позвоночника в боковой проекции указывает на изменение шейного лордоза (выражен и сглажен).
Симптомы обострения остеохондроза шейного отдела позвоночника:
- симптом мышечной боли в шее, затылке, плече или руке
- хруст в шее при поворотах или наклонах головой в стороны
- жжение или боль между лопаток
- ограничение подвижности шеи при обострении симптома мышечной боли
- головокружение, тошнота, двоение перед глазами, онемение лица, языка, слабость
- онемение в руке, в пальцах кисти
- прострелы в шее, затылке, виске, лобной части головы, плече, руке, в пальцах кисти
Лечение симптома боли в шее, затылке и руке (остеохондроза шейного отдела позвоночника)
На начальном этапе лечения боли в шее могут быть использованы обезболивающие препараты, миорелаксанты, аппликации тепла или холода. Шейный бандаж помогает заживлению травмы и облегчению боли в шее. Очень важно правильно его носить, чтобы получить максимальную пользу. Инъекции стероидов могут в некоторых случаях облегчить боль в шее. Манипуляции на шейном уровне, выполняемые мануальным терапевтом или остеопатом, также могут облегчить боль и ускорить восстановление. При иглоукалывании используют тонкие иглы, устанавливаемые в области боли. Лечебный массаж облегчает боль, улучшая кровообращение, расслабляя мышцы и высвобождая естественные обезболивающие средства организма эндорфины. В более серьезных случаях может потребоваться хирургическое вмешательство. Хирургия шейного отдела постоянно прогрессирует и даёт хороший результат.
В зависимости от тяжести проявлений и причин возникновения боли (остеохондроз шейного отдела позвоночника, травма и растяжение связок и мышц шеи при падении и т.д.) в шее у пациента возможны следующие лечебные действия:
- медикаментозная терапия (НПВС, анальгетики, гормоны)
- блокады — инъекции препаратов в болезненные мышцы
- мануальная терапия (безоперационное "вправление" позвоночной грыжи диска при помощи мышечной, суставной и корешковой техник)
- физиотерапия (УВЧ, СМТ и т.д.)
- лечебная гимнастика
- иглоукалывание
- оперативное лечение
В межпозвонковые суставы (фасетки) опытным врачом невропатологом или нейрохирургом также могут быть произведены лечебные блокады. Блокады применяются тогда, когда обычное лечение острой или хронической боли в шее при остеохондрозе шейного отдела позвоночника не даёт стойкого положительного эффекта.
Для проведения блокады при острых или хронических болях в шее достаточно низких доз анестезирующего средства (новокаин, лидокаин) и кортизона, дипроспана или кеналога, вводимого в просвет или мягкие ткани около поражённого сустава.
При лечении боли в шее и остеохондроза шейного отдела позвоночника физиотерапия устраняет отёчность, воспаление, болезненность, восстанавливает объём движений в суставах и мышцах.
При сочетании с правильно подобранным режимом физиотерапии, эти инъекции могут дать хороший и долгосрочный эффект при головных болях и болях в шее.
Ношение шейного бандажа (шина Шанца) при лечении боли в шее и остеохондрозе шейного отдела позвоночника.
Ношение шейного бандажа (шина Шанца) при боли в шее и остеохондрозе шейного отдела позвоночника ограничивает объём движений. При этом шейный бандаж (шина Шанца) создаёт дополнительную разгрузку напряжённым и защитно спазмированным мышцам в результате боли в шее.
На фоне ношения шейного воротника (бандаж, корсет, шина Шанца) у пациента болевой симптом в области шеи устраняется значительно быстрее. Наступившее ослабление боли в шее приводит к быстрому восстановлению прежнего объёма движений головы и шее при остеохондрозе шейного отдела позвоночника.
Ношение шейного корсета (филадельфийского воротника) при лечении боли в шее и остеохондрозе шейного отдела позвоночника.
Длительность ношения шейного бандажа (шейный воротник, шина Шанца) зависит лишь от наличия болевого симптома у пациента с болью в шее и остеохондрозом шейного отдела позвоночника. В шейном бандаже (шина Шанца) пациент может так же спать.
Существует несколько видов шейного бандажа (шейного воротника, шины Шанца). Все шейные воротники и бандажи подбираются по размеру и могут быть неоднократно использованы в случае повторного появления боли в шее и остеохондрозе шейного отдела позвоночника. В шейном воротнике пациент может спать и заниматься своей обычной дневной деятельностью.
Длительное перенапряжение мышц шейного отдела позвоночника способствует возникновению головной боли и боли в шее.
Сроки ношения шейного бандажа (шейного воротника, шины Шанца) при боли в шее на фоне шейного остеохондроза устанавливаются лечащим врачом исходя из клинических проявления у пациента с болью в шее. Длительность ношения шейного бандажа (шейного воротника, шины Шанца) при боли в шее на фоне шейного остеохондроза может быть от нескольких дней до нескольких недель, зависимости от тяжести состояния больного с болями в шее.
Дополнительно
- Анатомия позвоночника
- Аномалии развития позвоночника (Клиппеля-Файля, шейное ребро, спина бифида, сакрализация, люмбализация и т.д.)
- Артроз крестцово-подвздошного сочленения
- Артроз межпозвонковых суставов (спондилоартроз)
- Болезни спинного мозга:
- Болезнь Бехтерева (анкилозирующий спондилоартрит)
- Болезнь Шеермана-Мау (юношеский остеохондроз)
- Боли в позвоночнике (нижняя часть спины, поясница)
- Симптом боли в шее, затылке и руке, остеохондроз и грыжа диска шейного отдела позвоночника
- Боли в спине во время беременности
- Вывих позвонков
- Гемангиома позвонка (вертебральная ангиома)
- Грыжа и протрузия межпозвонкового диска
- Кокцигодиния (боль в копчике)
- Люмбаго, люмбалгия и люмбоишиалгия
- Межрёберная невралгия
- Остеофиты позвоночника
- Остеопороз (первичный и вторичный, тел позвонков)
- Остеохондроз грудного отдела позвоночника
- Остеохондроз позвоночника и его симптомы
- Перелом позвоночника (компрессионный)
- Правила ухода за парализованными больными
- Сакродиния (боль в крестце)
- Сакроилеит (воспаление крестцово-подвздошного сочленения)
- Сколиоз, сутулость
- Спондилёз
- Спондилит (остеомиелитический, туберкулёзный и т.д.)
- Спондилолистез (смещение и нестабильность позвоночника)
- Стеноз позвоночного канала
- Хлыстовая травма шеи (шейно-черепной синдром)
- Эпидурит спинальный
















