Магнитно-резонансная томография (МРТ) органов грудной клетки (сосуды, сердце, лёгкие)
- Магнитно-резонансная томография (МРТ) органов грудной клетки (сосуды, сердце, лёгкие)
- Проведение процедуры магнитно-резонансной томографии (МРТ) органов грудной клетки
- Подготовка пациента к процедуре магнитно-резонансной томографии (МРТ) органов грудной клетки
- Переносимость процедуры магнитно-резонансной томографии (МРТ) органов грудной клетки пациентами
- Показания к проведению магнитно-резонансной томографии (МРТ) органов грудной клетки
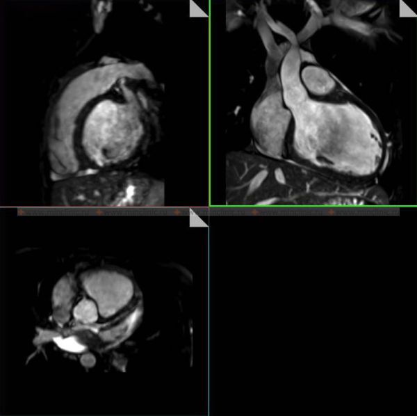
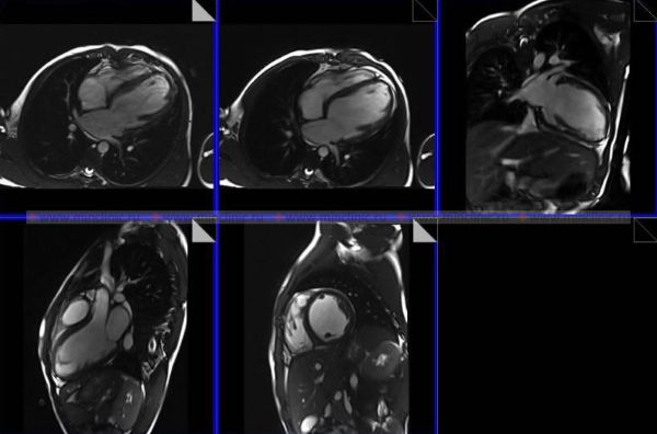
- Выявляемые изменения на магнитно-резонансной томографии (МРТ) органов грудной клетки
- Возможные риски и осложнения при проведении магнитно-резонансной томографии (МРТ) органов грудной клетки
Магнитно-резонансная томография (МРТ) органов грудной клетки (сосуды, сердце, лёгкие)
МРТ (магнитно-резонансная томография) органов грудной клетки — это способ визуализации с применением силового магнита и радиоволн, с помощью которых в дальнейшем строится изображение органов грудной клетки (сосуды, сердце, лёгкие). Во время проведения МРТ (магнитно-резонансной томографии) органов грудной клетки 3,0 Т (тесла) пациент не получает радиационного облучения (лучевой нагрузки).
Проведение процедуры магнитно-резонансной томографии (МРТ) органов грудной клетки
При проведении МРТ (магнитно-резонансной томографии) органов грудной клетки 3,0 Т (тесла) на пациенте должна быть одежда, которая не содержит металла (застёжки, ремни, пуговицы). При наличии в теле пациента металлических имплантов (клипсы на аневризмы, протезы суставов, пластины и винты для остеосинтеза, кардиостимуляторы и нейростимуляторы) проведение МРТ так же не возможно и не безопасно, т.к. полученное изображение будет смазанным и существует риск смещения (миграции) имеющихся в теле имплантов.
В последнее время изготовители медицинских изделий стали производить вышеперечисленные имплантируемые в тело пациента компоненты с применением специальных сплавов, которые не подвержены воздействию магнитного поля МРТ аппарата. О подобной совместимости изделия с МРТ процедурой производителем указывается в прилагающийся к нему документации.
Пациента укладывают на выдвижной стол МРТ аппарата, который затем вместе с ним автоматически сдвигается в центр сканера для начала проведения исследования.
Некоторые виды МРТ (магнитно-резонансной томографии) органов грудной клетки требуют применения специального препарата — контраста. Контрастное вещество водится пациенту через вену локтевого сгиба или кисти. Контраст при МРТ (магнитно-резонансная томография) органов грудной клетки, накапливаясь в изменённых тканях, усиливает получаемое изображение. Это даёт наиболее подробную картину состояния исследуемого органа или ткани для врача рентгенолога, который будет делать описание полученных при МРТ изображений.
Внутривенный контраст с гадолинием — это неионное парамагнитное контрастное средство для магнитно-резонансной томографии. Парамагнитные свойства определяют контрастное усиление при выполнении МРТ 3,0 Т (тесла). Внутривенное введение препарата (контраста) вызывает усиление сигнала из участков тканей только тех органов, которые имеют дисфункцию в результате повреждения при каком-либо патологическим процессе. Это обеспечивает большую информативность от полученного изображений по сравнению с данными МРТ того же органа без применения контрастного усиления.
Врач рентгенолог и его помощник во время проведения процедуры МРТ (магнитно-резонансной томографии) органов грудной клетки находятся в отдельной комнате, наблюдая через стекло за работой аппарата и состоянием пациента. Продолжительность МРТ исследования занимает от 30 до 60 минут в зависимости от объёма запланированного исследования органов грудной клетки данного больного.
Подготовка пациента к процедуре магнитно-резонансной томографии (МРТ) органов грудной клетки
Перед запланированным исследованием пациент просят не есть и не пить жидкость за 4-6 часов до начала проведения процедуры МРТ (магнитно-резонансной томографии) органов грудной клетки.
Необходимо заранее уточнить, нет ли у направленного врачом на МРТ исследование пациента боязни замкнутого пространства (клаустрофобии). В подобном случае ему необходимо будет предварительно принять успокоительный препарат, который вызовет лёгкую сонливость и снимет тревогу. Существует так же «открытый» тип аппаратов МРТ («открытое МРТ», «МРТ с открытым контуром»), в которых имеются свободные пространства по бокам, что не пугает пациента.
Установленный в отделении лучевой диагностики МРТ аппарат (магнитно-резонансный томограф) имеет большое пространство с апертурой 70 см, что приводит к снижению количества пациентов, которым нужна предварительная седация во время проведения исследования органов грудной клетки.
Нашим пациентам предлагается пройти МРТ на аппарате с магнитным полем силой 3,0 Т (тесла). Возможно так же проведение МРТ с внутривенным контрастированием (контраст Омнискан) для увеличения визуального различия между здоровой тканью и опухолью. Ограничение по весу (для пациента с большим весом) при проведении магнитно-резонансной томографии (МРТ) — до 200 кг.
Перед выполнением процедуры МРТ (магнитно-резонансная томография) органов грудной клетки у пациента следует исключить:
- наличие клипс при аневризме артерий мозга;
- наличие внутрисосудистых стентов;
- наличие искусственных металлических клапанов сердца;
- сердечных дефибрилляторов и кардиостимуляторов;
- нейростимуляторов головного и спинного мозга;
- кохлеарных имплантов во внутреннем ухе
- заболеваний почек, применение диализа (риск токсического эффекта от внутривенного введения контраста);
- наличие искусственных суставов
- наличие металлических осколков в теле после аварий, взрывов, ранений и т.д.
МРТ аппарат, установленный в отделении лучевой диагностики, имеет сильное магнитное поле — 3 Тесла, поэтому в помещение, где установлен прибор, следует избегать входить с:
- авторучками, перочинными ножами, очками с металлической оправой;
- ювелирными украшениями из металла, часами, банковскими кредитными картами и пропусками, слуховыми аппаратами;
- металлическими заколками, булавками, застёжками и молниями;
- съёмными зубными протезами (снимаются перед проведением томографии).
Переносимость процедуры магнитно-резонансной томографии (МРТ) органов грудной клетки пациентами
Сама процедура МРТ (магнитно-резонансной томографии) у пациента не вызывает каких-либо физических болевых ощущений и чувства дискомфорта. В случае, когда пациент на обследовании не может лежать в аппарате МРТ неподвижно (дети) или нервничает, может быть использован препарат с седативным эффектом короткого действия, помогающий ему на время процедуры успокоиться и расслабиться. Движения тела пациента во время проведения МРТ (магнитно-резонансная томография) органов грудной клетки 3,0 Т (тесла) будут смазывать получаемые аппаратом изображения, внося ошибки в диагностику.
Поверхность стола МРТ томографа может быть слишком прохладной и жёсткой для некоторых больных, поэтому их можно укрыть во время выполнения сканирования пледом или доложить им подушку под голову (если это не мешает основному исследованию).
Интерком, вмонтированный в МРТ аппарат, позволяет пациенту общаться во время процедуры диагностики с медицинским персоналом, расположенным в соседней комнате. В некоторых МРТ томографах встроены так же видеомониторы и наушники, что позволяет отвлечься пациенту во время его нахождения в томографе в процессе сканирования.
После завершения процедуры МРТ (магнитно-резонансной томографии) 3,0 Т (тесла) органов грудной клетки пациент может продолжать свой привычный образ жизни. У него не будет никакого ограничения в диете, физической активности, за исключением тех случаев, когда во время МРТ томографии ему был применён седативный препарат.
Показания к проведению магнитно-резонансной томографии (МРТ) органов грудной клетки
МРТ (магнитно-резонансная томография) грудной клетки позволяет специалистам получить изображение расположенных там органов пациента (сердце, бронхи, лёгкие и т.д.) для оценки их функционального состояния или выявить произошедшие в них органические изменения.
МРТ (магнитно-резонансную томографию) органов грудной клетки проводят пациентам в следующих случаях:
- в качестве альтернативы КТ-ангиографии, чтобы избежать лучевой нагрузки на организм больного;
- для уточнения уже имеющихся данных, полученных при предыдущей рентгенографии или компьютерной томографии;
- диагностика патологического роста тканей некоторых органов грудной клетки (сердце, аорта, вена, лёгкие);
- оценка состояния кровотока (аорта, вена, сердце, лёгкие);
- оценка состояния лимфатических узлов и сосудов в грудной полости;
- оценка органов грудной клетки в трёхмерной реконструкции под разными углами;
- выявление стадии рака — распространения опухоли из органов грудной клетки в другие части тела (метастазы); определение стадии развития рака органов грудной клетки позволяет подобрать адекватный метод лечения и осуществить прогноз в дальнейшем состоянии пациента с онкологией.
В случае нормы у обследуемого человека на МРТ (магнитно-резонансной томографии) органов грудной клетки никаких патологических изменений выявлено не будет.
Выявляемые изменения на магнитно-резонансной томографии (МРТ) органов грудной клетки
МРТ (магнитно-резонансной томографии) органов грудной клетки может показать следующие нарушения в сердце, лёгких или грудной клетке:
- аномалия развития и приобретённая патологию сосудов лёгких (артерии, вены);
- аномалия развития и приобретённая патологию лимфатических узлов грудной клетки;
- расслоение стенок аорты;
- стеноз (сужение) аорты;
- миксома (опухоль) предсердия;
- дефект в предсердной перегородке;
- аномалия развития и приобретённая патологию бронхов;
- тампонада сердца (кровь или выпот в полости перикарда);
- хроническое обструктивное заболевание лёгких, хроническая обструктивная болезнь лёгких (ХОЗЛ, ХОБЛ);
- каорктация (сужение просвета) аорты;
- констриктивный перикардит («панцирное сердце»);
- кистозное поражение лёгких;
- опухоли пищевода;
- ишемическая кардиомиопатия;
- опухоль лёгкого (рак лёгких);
- митральная регургитация (острая и хроническая);
- пролапс митрального клапана;
- патологические массы и опухоли в грудной полости;
- перикардиальный выпот (жидкость в полости перикарда);
- перикардит (воспаление сердечной сумки);
- патологические изменения плевры — утолщение её лепестков при плеврите и выпот в плевральной полости;
- отёк лёгких;
- рестриктивная кардиомиопатия;
- обструкция (закупорка просвета) верхней полой вены;
- аневризма грудного отдела аорты;
- тимома или опухоль тимуса (рак вилочковой железы);
- опухоли грудины.
Полученные данные результатов МРТ (магнитно-резонансной томографии) органов грудной клетки в дальнейшем анализируются лечащим врачом пациента, который разрабатывает план необходимого дополнительного обследования и лечения.
Возможные риски и осложнения при проведении магнитно-резонансной томографии (МРТ) органов грудной клетки
Аппарат МРТ 3,0 Т (тесла) не использует в своей работе рентгеновское излучение, в отличие от КТ томографов. До сих поре не получено каких-либо упоминаний и сообщений в исследованиях от врачей о возможных побочных эффектах, оказываемых МРТ томографом на организм в результате его применения.
Большинство типов контрастов или контрастных препаратов содержат гадолиний. Применение внутривенного контраста при МРТ (магнитно-резонансной томографии) органов грудной клетки безопасно. Аллергические реакции на вводимый через вену при исследовании МРТ препарат наблюдаются у пациентов крайне редко. Но гадолиний может быть вреден пациентам с ослабленной функцией почек, через которые он выводится из организма, или у больных, находящихся на диализе для очищения плазмы крови. При наличии у пациента почечной недостаточности следует с осторожностью назначать подобные исследования органов грудной клетки на МРТ аппарате с контрастированием.
Сильное магнитное поле, создаваемое аппаратом МРТ, может повредить работе кардиостимулятора или иного имеющегося в теле пациента типа электронного импланта. Так же подвержены магнитному полю имеющиеся в теле металлические осколки и пластины, которые могут смещаться и сдвигаться.
На данном этапе развития медицинских технологий, МРТ не является наиболее ценным инструментом для обнаружения или мониторинга незначительных изменений в ткани лёгкого, т.к. лёгкие содержат воздух и это затрудняет визуализацию.
Проведение исследования органов грудной клетки на МРТ аппарате может быть не выгодно по ряду причин:
- высокая стоимость исследования;
- большая длительность процесса сканирования;
- высокая чувствительность к движению внутренних органов и всего тела во время томографии.
Дополнительно
- Принцип МРТ обследования
- МРТ ангиография сосудов головного мозга
- МРТ головного мозга
- МРТ гипофиза
- МРТ шейного отдела позвоночника
- МРТ грудного отдела позвоночника
- МРТ пояснично-крестцового отдела позвоночника
- МРТ плечевого сустава
- МРТ тазобедренного сустава
- МРТ коленного сустава
- МРТ органов грудной клетки
- МРТ сердца и грудного отдела аорты
- МРТ органов брюшной полости
- МРТ органов малого таза (мужской, женский)
- МРТ всего тела







