Do I Have Gingivitis or Periodontitis?
What are gingivitis and periodontitis?

Gingivitis is the initial stage of periodontal disease. Gingivitis occurs when bacteria grow at your gum line. This causes inflammation and sometimes infection. There are usually very few symptoms. You may not even realize anything is wrong at first.
If your gingivitis goes untreated, it can progress and become periodontal disease. When bacteria get too deep in your gums, they can cause major health problems.
Different types of periodontal disease include:
- Aggressive periodontitis: This is when otherwise healthy patients have rapid bacterial growth and decay in their teeth and gums.
- Chronic periodontitis: Here, inflammation under your gums slowly causes your teeth to detach from your gums.
- Periodontitis caused by other diseases: Sometimes your periodontitis is a symptom of another health condition like heart disease, respiratory disease, or diabetes.
- Necrotizing periodontal disease: A lack of sufficient blood flow to your gums can cause periodontitis as a result of human immunodeficiency virus (HIV), malnutrition, or a compromised immune system.
Symptoms of gingivitis and periodontitis
Gingivitis doesn’t present many symptoms. If you do have symptoms, they are usually mild enough that you may not pay much attention to them.
When gingivitis gets worse and turns into periodontal disease, you may experience:
- Persistent bad breath
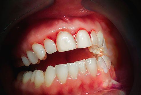
- Gums that are red and swollen
- Bleeding
- Pain when chewing
- Loose teeth
- Sensitivity
- Receding gums
Causes of gingivitis and periodontitis
Gingivitis is most frequently caused by poor dental hygiene. Here are some other factors that can contribute to the condition:
- Nutrition: A poor diet can increase your risk for gingivitis since some foods, like those high in sugar and starches, can worsen the condition.
- Genetics: If you have a family history of gum disease, you are more likely to be diagnosed with gingivitis or periodontitis.
- Pregnancy: Women are slightly more likely to have gingivitis or periodontitis because of their hormone levels. Since your hormones change even more during pregnancy, this puts you at a greater risk.
- Stress: Not getting enough sleep and maintaining high levels of stress leaves you more at-risk for getting sick or developing infections. This includes your mouth, too.
- Tobacco use: Smoking or using other forms of tobacco puts you at a greater risk for gingivitis and periodontitis. Gum disease in tobacco users is usually more advanced.
Stages of gingivitis and periodontitis
The bacteria that cause gingivitis and periodontitis always exist in your mouth.
Brushing and flossing regularly helps to keep your bacteria at a level that isn’t harmful to your health. When the bacteria first begin to reach higher levels, your dentist may diagnose gingivitis. Gingivitis doesn’t cause permanent damage and may be mildly discomforting.
If gingivitis goes untreated, your condition can worsen and become periodontitis. This condition is much more difficult to treat since you cannot reverse the damage it does to your teeth and gums.
Diagnosing gingivitis and periodontitis
Only a licensed healthcare professional can diagnose gingivitis or periodontitis.
With regular dental exams every six months, your dentist can keep records of how your gums look at each checkup. They can tell you if you have gingivitis by examining your gums for inflammation.
Your dentist may also use a small tool to push down on your gums and make sure that the pockets of space between your teeth and gums are normal. Pockets that are deeper than 1 to 3 millimeters may signify periodontitis.
Treatments for gingivitis and periodontitis
The best treatment for gingivitis is diligent oral care. Brush and floss your teeth twice a day. Take your time and the extra care to brush your gum line. That is where bacteria cause the most damage.
If you are concerned that your efforts aren’t enough, talk to your doctor. A severe case of periodontitis may require:
- Scraping teeth: Your dentist will remove plaque buildup from around and under your gum line to reduce bacteria. A special tool is used to scrape your teeth without causing damage to your tooth enamel.
- Oral antibiotics: If the bacteria in your mouth cause an infection, antibiotics can kill the bacteria. Your dentist may prescribe pills or an antibiotic mouthwash.
- Surgery: Advanced periodontitis may require surgery to get deep enough into the gum tissue to remove bacteria and prevent future damage.
- Grafting: If your gum tissue recedes too much because of periodontitis, your dentist can graft gum tissue from other areas of your mouth.
Knowing whether you have gingivitis or periodontitis requires a diagnosis from your dentist.
If you have concerns, give your dentist a call and create a treatment plan that will help you get your gum disease under control and prevent future damage.

